TREATMENT
歯周病治療
目次
全身疾患とも深く関わる「歯周病」──早期受診の重要性
歯周病は日々のセルフケアと専門的な歯科治療の両立が重要ですので、早期に歯科を受診し、定期的なフォローアップを受けることをおすすめしています。歯周病は、口腔内だけの問題にとどまらず、全身の健康にも影響を及ぼすことが数多くの研究で報告されています。代表的な関連性としては、以下のようなものが挙げられます。
糖尿病との関連
重度の歯周病患者は、軽度の患者に比べ、2年後に糖尿病が悪化している割合が約5倍に上ると報告されています。
心臓病との関連
歯周病菌が産生する物質が血流に乗って全身を巡り、動脈硬化を促進する可能性が指摘されています。これにより、心筋梗塞や狭心症のリスクが高まり、健康な人に比べて発症の危険率が約2.8倍になるといわれています。
早産・低体重児との関連
低体重児を出産した母親の多くで歯周病の進行が確認されており、妊娠中に歯周病を放置すると早産のリスクが高まるとされています。
このほかにも、がん、肺炎、脳卒中など、さまざまな疾患との関連性が示唆されています。近年の研究により、歯周病は「歯を失う病気」という認識にとどまらず、「命に関わる可能性のある病気」であるという見方が、歯科・医療関係者の共通認識となりつつあります。
早期の診断と治療を行うことは、口腔の健康だけでなく全身の健康を守るためにも不可欠です。
歯周病の原因と症状
歯周病は初期段階では自覚症状が乏しく、進行するまで放置されることが多いです。歯周病の主な原因、症状について解説します。
歯周病の原因
歯の表面や歯周ポケット内に付着する歯垢(プラーク)と、歯垢に含まれる細菌が歯周病の最も大きな原因です。適切なブラッシングができていない場合や、歯石を長期間放置している場合、歯周ポケットが深くなるにつれ細菌が増殖し、歯ぐきや骨にダメージを与えます。
また、歯並びが悪くブラッシングが行き届きにくい場合や、かぶせ物が合っていない場合も、歯垢が溜まりやすくなり歯周病の進行につながります。
さらに、不適切な食生活や喫煙、ストレス、糖尿病などの全身疾患も歯周病の進行を助長するとされています。喫煙は血管を収縮させ、歯ぐきの免疫力を低下させることで歯周病リスクが高まります。
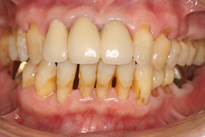
歯周病の主な症状
歯ぐきの腫れや出血、歯磨き時の出血、口臭、歯ぐきの下がり(歯が長く見える)、歯の動揺などが歯周病の主な症状として挙げられます。歯周病は進行度合いによって、健康な歯ぐきから歯肉炎、軽度歯周炎、中等度歯周炎、重度歯周炎と段階が変わっていきます。それぞれの段階で見られる症状は異なります。
軽度歯周病(歯肉炎・軽度歯周炎)
歯ぐきが赤く腫れ、ブラッシング時に出血が見られるのが軽度歯周病です。まだ歯を支える骨にまで大きな影響が出ていない場合が多いですが、歯肉炎から歯周炎へ進むタイミングは人によって異なり、症状が出ていないからといって油断して放置すると中等度以上へと進行してしまうことがあります。
中等度歯周病
歯ぐきの出血や腫れが顕著になり歯を支える骨(歯槽骨)の破壊が進むと、歯ぐきが下がることで歯が長く見えたり、歯と歯の間に隙間ができることも中等度歯周病の特徴です。歯磨き時に強い痛みが出たり、冷たい水がしみる知覚過敏が起こることもあります。口臭についても、歯周ポケットの奥に潜むプラークや歯石が原因で細菌が増殖し、揮発性硫黄化合物などのガスが発生して不快なにおいとなるのです。中等度歯周病は放置すると重度へ移行し、最終的には歯の喪失につながるリスクが高まります。
重度歯周病
歯ぐきが大きく下がり、歯槽骨の破壊が著しく進んでいる状態になると重度歯周病と診断されます。歯がグラグラと揺れ、最悪の場合は自然に抜け落ちたり、抜歯を余儀なくされたりします。強い口臭や痛み、膿が出るなどの症状も顕在化することが多く、最終的には歯を抜かなければならないケースもあり、生活の質にも大きな影響が出てきます。
重度化した歯周病は身体全体の健康にも悪影響を及ぼす可能性が指摘されており、心疾患や糖尿病のリスクを高める要因とも言われています。
歯周病の進行別に行う治療
当院では、患者さんに歯科医院の雰囲気に慣れていただくところから始め、痛みに配慮した治療法を採用し、麻酔方法の工夫などを行いながら治療を進めていきます。また、噛み合わせや歯並びの乱れが歯周病を進行させる要因になる場合もあるため、必要に応じて咬合誘導や矯正的アプローチを検討することがあります。
軽度歯周病(歯肉炎・軽度歯周炎)
正しいブラッシング指導とスケーリング(歯石除去)を中心としたクリーニングで、健康な状態へと回復させることが可能です。軽度歯周病の段階で適切に治療を行い、ブラッシング習慣を見直せば、歯ぐきを健康な状態に戻して歯周病リスクを減らすことが期待できます。
当院では、軽度の段階で見つけた歯周病でも患者さんの生活スタイルや習慣をヒアリングし、再発防止につながるセルフケアの指導を徹底しています。とくに、喫煙や糖分の多い食生活が続くと歯肉炎が悪化しやすいため、生活習慣改善のアドバイスも欠かしません。
中等度歯周病
この段階では、スケーリングやルートプレーニングだけでは症状が改善しにくくなるため、歯周ポケットの内部を直接処置するためのフラップ手術など外科的アプローチが必要となる場合があります。
当院では、中等度歯周病の段階に至った患者さんに対して、徹底した検査とカウンセリングを行い、最適な治療計画を立てます。痛みや負担を最小限に抑えることを重視するほか、日常のブラッシング指導や食生活へのアドバイスを組み合わせ、再発リスクを下げるように取り組みます。
咬合誘導と歯並び改善
中等度以上の歯周病の場合、歯並びの乱れや噛み合わせ(咬合)の不調和が症状をさらに悪化させる可能性があります。歯が傾斜している部分や咬合がずれていてブラッシングが届きにくいデッドスペースに歯垢が蓄積されやすいためです。
こうした問題を根本的に改善するには、矯正治療や咬合誘導などの検討が必要になるため、当院では、歯周病の治療を行ううえで歯並びや噛み合わせの状態を総合的に評価し、必要に応じて咬合調整や矯正専門医との連携を行っています。
患者さんの状況により治療期間や費用面も変わりますが、長期的なお口の環境の安定を目指すためには、原因を包括的に捉えることが重要です。歯周病治療と並行して咬合を改善することで、清掃性が向上し、歯ぐきへの負担が軽減され、再発リスクが低下するなど、多くのメリットが期待できます。
重度歯周病
外科的な歯周再生療法や抜歯後のインプラントやブリッジによる補綴治療など、多角的なアプローチが必要です。当院では、重度歯周病の患者さんに対しても、可能なかぎり歯を残す治療に注力しますが、骨の状態によっては抜歯の選択をせざるを得ないケースも存在します。
ただし、重度歯周病の治療は長期的な取り組みが必要であり、治療後の定期的なメンテナンスと患者さん自身のセルフケアがとても大切です。少しでも早く症状を認識し、専門的な治療を受けることが、歯と全身を守る第一歩です。
当院では、患者さんの症状や生活スタイルに合わせたオーダーメイドの治療計画を立案し、スケーリング・ルートプレーニングから外科的処置まで幅広い治療法を用意しています。さらに、歯科衛生士や担当医が連携し、治療後のアフターケアや定期検診に力を入れることで、再発を防止し、長期的に健康なお口の環境を守るサポートを行います。
歯周病治療の特徴
特徴1:重度歯周病専用治療器「ブルーラジカルレーザーセクション」を導入
ブルーラジカル(Blue Radical)レーザーセクションは、全国で約2,000台しか導入されていない重度歯周病専用治療器です。東北大学とスウェーデンデンタル仙台の共同開発により誕生し、重度の歯周炎(ステージⅢ・Ⅳ)に対して高い効果を発揮することが、国内の治験で実証されています。
この機器は、国に歯周病治療効果を認められた唯一のレーザー機器であり、従来の超音波治療とは一線を画す新しいアプローチを可能にしました。
ブルーラジカルの3つの特徴
1. ラジカル殺菌による高い殺菌力
過酸化水素とレーザー照射によって発生する「ラジカル」が、歯周病菌や虫歯菌などの口腔内細菌に対して高い殺菌効果を発揮します(※効果には個人差があります)。人体への影響がなく、安全性にも配慮されています。
2. スケーリングと殺菌を同時に実現
従来の治療器は歯石除去(スケーリング)のみに特化していましたが、ブルーラジカルはスケーリングと殺菌を同時に行える初めての装置です。これにより、治療効率が大幅に向上します。
3. 治療効果が科学的に実証済み
治験では、歯ぐきの腫れや歯周ポケットの深さを有意に改善できることが確認されています。これまで治りにくかった重度の歯周病にも、1回の治療で高い効果が期待できます。
ブルーラジカル治療で考えられる副作用
一時的な痛みや違和感:治療中にレーザー照射によって痛みや違和感を感じることがありますが、これは個人差があり、局所麻酔で軽減できる場合もあります。
歯ぐきの腫れ:治療後に一時的に歯ぐきが腫れることがあります。
知覚過敏:治療後、一時的に歯がしみる症状が出ることがあります。
歯ぐきの白濁:治療した部分の歯ぐきが一時的に白くなることがありますが、通常は1日程度で元の色に戻ります。
料金
※ブルーラジカルは保険適用外のため自由診療となります
| 治療名 | 料金 (1本あたり・税込) |
|---|---|
| 歯周基本治療(保険適用)後の精密検査 | ¥27,500 |
| ブルーラジカル治療 | ¥14,300×本数 |
| ブルーラジカル後の1週 4週 8週後の衛生士によるブラッシングチェックと歯面清掃 |
各回それぞれ ¥11,000 |
| 12週後 (3か月後)の精密検査(再評価) | ¥16,500 |
特徴2:CT(三次元立体画像撮影装置)による精密分析
歯周病治療を行う際は、歯や歯ぐきの表面的な状態だけでなく、歯槽骨の状態を正確に把握することが重要です。当院では、三次元立体画像撮影装置(CT)を用いてお口の中を多角的に解析し、歯槽骨の吸収具合や歯の根の形態などを詳細に確認しています。
従来のレントゲンだけでは把握しきれない部位まで精密にチェックすることで、治療計画をより適切に立案することが可能となります。特に、外科的処置が必要な中等度から重度の歯周病においては、骨の高さや厚み、歯根の走行などが治療方針を決める上で大きな要因となります。
CT画像を活用することで、患者さんにもご自身のお口の中の状況を立体的にイメージしていただきやすくなり、治療方針の説明を理解しやすくなります。精密分析を行うことにより、無駄な治療を避け、より安全かつ効果的なアプローチが可能です。
特徴3:レーザーと薬剤を活用した殺菌療法
歯周ポケット内の細菌を効率的に抑制するために、当院ではレーザー機器や特定の薬剤を組み合わせた殺菌療法を採用しています。レーザーを照射することで歯ぐきへの負担を軽減しながら、ピンポイントに細菌を死滅させることが可能です。
「レーザー」という言葉を聞くと、患者さんのなかには身体に与える影響を心配される方がいらっしゃいますが、みなさんが想像されるレーザーとは異なり、当院が使用しているレーザーは医療用に開発されたものですので身体への影響は問題ありません。
歯周病にレーザーを利用することで得られる効果は下記になります。
<効果1 治療時間の大幅な短縮>
従来の歯周病治療では、歯周病菌の温床となっている歯石を「手作業」で削っていましたので、どうしても時間が掛かってしまい、短時間での治療を希望されるビジネスマンの方にとっては負担の大きなものでした。それに対して、歯科用レーザーには水分を蒸散させる効果があり、水分を多く含んでいる歯石は瞬時に光分解されるため、治療時間が大幅に短縮されます。また、レーザーを使うことで、従来法では届きづらかった深いポケットや複雑な形態のポケットにも到達殺菌することが可能となり、治療効果は格段に高まります。
<効果2 殺菌効果>
従来の歯周病治療では取り除くことが難しいとされていた歯周病が出す毒素(内毒素)の除去さえも、殺菌効果を持つ歯科用レーザーにとっては簡単です。また、治療と同時に患部への殺菌・消毒効果もありますので、治癒経過も非常に良好になります。
<効果3 痛みを抑えた処置が期待できます(個人差あり)>
レーザー光には強いエネルギーがあり、1,000度を超える熱が発生しますが、わずか1万分の3秒という短い単位で照射されるため、痛みの軽減が期待できます。麻酔を用いなくても治療できるケースもありますが、痛みの感じ方には個人差があります。
薬剤を用いた歯周病へのアプローチ
一般的な風邪では、薬の服用によって原因菌を抑制・殺菌しますが、歯周病においても同様のアプローチが可能です。
当院では、「ジスロマック」と呼ばれる抗菌薬を用いて歯周病菌の殺菌を行っています。下記の画像は、治療前と治療後の口腔内を特殊な顕微鏡で撮影し比較したものです。投薬後には歯周病菌の数が大幅に減少していることが確認できます。
従来の機械的な歯石除去だけでは除去しきれない深部の汚れや、歯周ポケット内の細菌叢(フローラ)をコントロールするために、薬剤との相乗効果が期待できます。この治療法は、外科手術を回避できる場合があるなどのメリットがある一方で、患者さん個々の歯周ポケットの深さや歯肉の状態によっては適応が限られるケースもあります。
そのため、当院では診断結果を踏まえて最適な治療手段を提案し、痛みやダウンタイムを最小限に抑えながら症状の改善を図っています。薬剤を用いた局所的な殺菌アプローチと組み合わせることで、再発率を下げ、治療効果の持続を目指しています。
特徴4:基本治療における精密機器の活用
歯周病治療の基本となるスケーリングやルートプレーニングなどの機械的除去処置も、当院では精密機器を取り入れて実施しています。超音波スケーラーやエアーフローなどを活用し、歯石やバイオフィルムを徹底的に除去することで、歯ぐきと歯周ポケットの環境を改善します。
また、歯周ポケット内の状態を確認するためにプローブを使い、ポケットの深さや出血の有無を細かく記録することで、治療経過を客観的に把握しています。こうした精密なデータに基づくアプローチは、歯周病のステージやリスク要因を正確に評価し、その後の治療方針やメンテナンス計画に反映することに役立ちます。
さらに、施術時には痛みに敏感な部位を把握しながら処置を進めることで、患者さんの負担を軽減し、安心して治療を受けていただけるよう配慮しています。
特徴5:治療後、美しい口元に改善する「歯肉移植術」
歯周病が進行すると、顎の骨が徐々に吸収されるとともに、炎症によって歯肉が腫れ上がります。骨の吸収が進めば歯肉は下がり、歯根が露出して歯が長く見える状態になりますが、炎症による腫れによって外見上はその変化が分かりにくくなります。治療によって炎症が改善されると、腫れが引き、隠れていた歯の部分が見えるようになるため、結果として「歯が長くなった」ように見えるのです。
当院では、治療後に審美的な見た目が気になる場合の改善策として「歯肉移植術」を実施しています。これは上顎の健康な歯肉の一部を採取し、見た目の改善が必要な部位に移植する方法で、歯肉ラインの回復と審美性の向上を目的としています。
Step1 歯肉の採取:上顎の奥歯の内側から移植する歯肉を採取します。
Step2 歯肉の移植:移植する箇所の歯茎を切開し、その中に採取した歯肉を入れます。
Step3 歯茎の縫合
歯肉を採取するために切開した歯茎は2週間程度でもとどおりになり、移植された歯茎はおよそ1ヶ月程度で傷跡がなくなり、周囲の歯茎と区別がつかない自然な状態になります。
特徴6:歯科衛生士の指名制度
歯周病の予防と治療効果の維持には、患者さんと長期的な信頼関係を築きながら継続的なケアを行うことが不可欠です。当院では歯科衛生士指名制度を採用しており、定期検診やクリーニングでは、患者さん一人ひとりを同じ歯科衛生士が継続的にサポートしていいくことも可能です。
これにより、毎回の検診で状態や経過を正確に把握できるだけでなく、ブラッシング指導や生活習慣のアドバイスなども一貫性を持って行うことが可能です。患者さんからも「前回話していた問題点を覚えていてくれた」「アドバイスが的確でわかりやすい」といった声をいただくなど、安心して通院していただける環境づくりにつながっています。
歯科衛生士は歯周病治療の最前線であり、お口の中の健康管理をサポートする専門家ですので、疑問や不安があれば遠慮なくご相談いただければと思います。
痛みや不安に配慮した治療体制
歯医者の雰囲気に慣れてもらう取り組み
歯周病治療を成功に導くためには、患者さんご自身が安心して治療を受けられる環境づくりが重要です。当院では、初診時のカウンセリングに十分な時間をかけ、患者さんの不安や疑問点の丁寧なヒアリングを徹底しています。
小さい頃から歯医者が苦手という方はもちろん、痛みや音への恐怖心がある方にも配慮し、できるだけリラックスできる雰囲気で診療を受けていただけるよう心がけています。
また、院内感染対策や衛生管理の徹底により、清潔な環境のもとで治療を行うことで、患者さんに「ここなら大丈夫」という安心感を持っていただけるような環境を整えることも、当院が力を入れている取り組みです。治療の経過や内容についても分かりやすく説明し、疑問や不安があればその都度解決していくことで、歯周病治療へ前向きに取り組んでいただけるようサポートいたします。
健康な歯ぐきのためのセルフケア
健康な歯ぐきは、淡いピンク色で引き締まっており、歯と歯ぐきの境目にほとんど歯垢や歯石が付着していない状態です。歯ブラシで磨いても出血しにくく、口臭も気になりにくいのが特徴です。歯周病予防の観点からは、この「健康な歯ぐき」の状態を長く維持することが理想となります。
セルフケアであるブラッシングでは歯周ポケット付近を意識した正しい磨き方を身につけることが大切ですが、歯石はブラッシングだけでは除去しきれないため、定期的にプロによるクリーニングを受けることが推奨されます。
当院では、担当歯科衛生士が患者さんのブラッシング習慣や歯並びの特徴などを踏まえ、個別に合ったケア指導を行っています。健康な歯ぐきを保つことは、歯の寿命を延ばすだけでなく、口臭予防や全身の健康維持にも寄与すると言われており、高血圧や糖尿病などの生活習慣病とも深い関わりがあります。
そのため、お口の中の状態を良好に保つことは総合的な健康管理の一環といえるのです。
痛みを抑えた治療法
歯周病治療においては、痛みへの不安を和らげることが、継続して通院するうえでの大きなモチベーションにつながります。特に、歯石除去を行うスケーリングや、深い歯周ポケットに対するルートプレーニングなどは、適切な麻酔を行わなければ痛みを感じることがあります。
当院では、患者さんがリラックスして治療を受けられるよう、表面麻酔の使用や、極細の針による注射など、できる限り痛みを抑える工夫を行っています。注射針は、蚊が刺す程度の非常に細いものを採用しており、針を刺す際の刺激を最小限に抑えます。
また、患者さん一人ひとりの痛みの感じ方やこれまでの治療経験に合わせて、麻酔の種類や使用方法を調整しています。痛みに敏感な方や歯科治療に不安を抱えている方にも安心して通っていただけるよう、安全かつ丁寧な歯周病治療を心がけています。
歯周病治療の流れ
① カウンセリング・初期検査
治療はまず、患者さんの症状やお悩みのヒアリングから始まります。そのうえで、歯周ポケットの深さの測定、歯ぐきの状態の確認、レントゲンやCTによる歯槽骨の状態評価などを総合的に行い、現在の歯周病の進行度を正確に把握します。
② 治療計画の説明
検査結果をもとに、一人ひとりに合わせた治療計画を立案します。治療内容、通院回数、期間、費用についても丁寧にご説明し、納得いただいたうえで治療を進めていきます。
③ 初期治療(スケーリング・ルートプレーニング)
まずは、歯垢や歯石の除去を中心とした初期治療を実施します。具体的には、スケーリング(歯の表面の歯石除去)やルートプレーニング(歯根面の清掃と滑沢化)を段階的に行い、炎症の改善を図ります。
④ 外科的治療(必要に応じて)
中等度〜重度の歯周病の場合は、初期治療だけでは改善が難しいため、フラップ手術(歯ぐきを切開して深い歯石を除去)や再生療法(骨や歯周組織の回復を目指す治療)などの外科処置を検討します。
⑤ 痛み・不安への配慮
すべての治療段階において、患者さんの負担を減らすために表面麻酔やレーザー治療を取り入れています。不安が強い方には、スタッフがしっかりとサポートしながら治療を進めます。
⑥ 治療の効果確認と再評価
治療の進行に合わせて、定期的な再評価を行います。歯周ポケットの改善状況や炎症の有無を確認し、必要があれば治療計画を見直し、より効果的な方法へと調整します。
⑦ メンテナンス・再発予防
治療が完了したら、「メンテナンス期(予防管理)」に入ります。担当歯科衛生士による定期検診やクリーニングを通じて、歯周病の再発を防ぎ、健康な状態を維持していきます。
衛生管理・安全管理への取り組み
ケンデンタルクリニックでは、患者さんに信頼していただけるよう、徹底した感染対策と衛生管理を行っています。治療で使用する器具はオートクレーブ(高圧蒸気滅菌器)やガス滅菌器などを用いて滅菌処理を徹底し、使い捨てできるものは可能な限りディスポーザブル製品を採用しています。