TREATMENT 歯周病治療
目次
- 「短期集中治療」に対応
- 「再生療法(保険適用)」に対応
- 「細菌療法」に対応
日本歯周病学会「認定医」が在籍。再発を防ぎ、抜歯を回避します。
当院が行う歯周病治療「4つの特徴」
歯周病は自覚症状なしで進行する病気のため、違和感(腫れ、出血、口臭等)を感じた時には症状がかなり進行している状況です。
このページを見られている方は、自覚症状がすでに出ている方だと思いますので、その方向けに当院の歯周病治療の特徴をご紹介します。当院で行う治療の特徴は4つあります。
- 特徴1日本歯周病学会「認定医」が在籍
- 特徴2「短期集中」治療
- 特徴3歯周組織「再生療法」
- 特徴4歯科衛生士「担当制」
それぞれご紹介します。

特徴1:CT日本歯周病学会「認定医」が在籍

\日本歯周病学会認定医とは?/
日本歯周病学会認定医とは、厚生労働省が認可した歯周病治療のスペシャリストに与えられる資格です。下記の条件を満たし初めて資格を取得できます。
- ・日本歯周病学会の正会員として3年以上在籍
- ・学会の認めた研修施設に通算3年以上所属
- ・歯周病学に関する研修と臨床経験を有する
- ・学術大会で行われる認定医・専門医教育講演・倫理に関する講演を規定回数以上受講
- ・自身が行った治療症例の提出
- ・認定医筆記試験に合格すること
また、この資格は一度取得すればよいものではなく、資格保持のためには5年ごとに、学会参加・症例発表・研修会参加等を必須とした更新が必要です。つまり、常に歯周病学の研鑽を積んでいなければ、認定医を維持する事はできません。
特徴2:短期集中治療(FMD)

当院では「FMD(Full Mouth Disinfection)」という治療法を用い、歯周病を短期で治療する短期集中型歯周病治療を実施しています。
※この治療法はすべての方ができるわけではなく適応症例が限定されます。
一般的な歯周病治療ではSRP(スケーリング・ルートプレーにング)という手法を用い、歯茎の中に隠れている歯垢や歯石を6回に分けて取り除く治療を行います。
しかし、歯周病は「感染症」ですので、いくら歯石や歯垢を取っても「歯周病菌」そのものを「除菌」しなければ、またすぐ菌が増えて症状が再発します。
そのうえ、一般的な歯周病治療(SRP)では複数回に分けて治療を行うので、どうしても、治療が完了していない部位から治療が完了した部位へ細菌が転移し、治療終了後も再感染を繰り返してしまうということが分かっています。

このような再感染のサイクルを止め、歯周病を完治させるためには、SPRを可能な限り少ない回数で行うこと。また、細菌へのアプローチ(除菌)が大切になります。
これにより、「再感染」を防ぐ「除菌治療」が可能になるだけでなく、治療期間を大幅に短縮することができるので、従来の歯周病治療の欠点(再感染・長期間の通院)を改善し、患者さんの負担を軽減することが可能になります。
当院では、早期に治療する必要がある中等度以上の歯周病の方にFMD治療をお勧めしています。
特徴3:歯周組織再生療法(エムドゲイン)
歯周病が進行すると、最終的には「歯がグラグラ」し、歯が抜けてしまいます。
しかし、このような状態であっても「再生療法」を利用することで抜歯せずに治療をすることができるケースがあります。
歯周病は「顎の骨を溶かす」病気ですので、溶けてしまった顎の骨を再生させることで、歯をしっかり支えられるようになり抜歯を回避する原理になります。
当院では「エムドゲイン」という材料を利用します。
エムドゲイン




エムドゲインは歯周病で骨がなくなってしまった部分に詰めておくと骨が再生するとされている新歯科材料です。
この素材は世界的に使用されている薬剤で、安全性が実証されているものです。日本においても厚生労働省の認可を受けています。

特徴4:歯科衛生士「担当制」~慣れ親しんだ担当とともに

歯周病は、歯磨きなどのお手入れ習慣はもちろんのこと、喫煙や飲酒など、生活習慣と密接に関連しています。
そのため、通常の虫歯治療と異なり、治療期間が長期にわたるという特徴があります。
また、生活習慣が乱れてしまうと、再発しやすくなるという傾向もあります。
当院では、患者さんのお口の健康管理を推進するため、患者さんの生活習慣やお口の状況を把握している担当者を設けています。
幅広い知識と経験を持った歯科医師と担当となった歯科衛生士が密接に連携することで、治療効果をより高めることを目指しています。
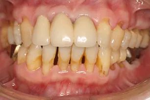
治療後、美しい口元に改善する「歯肉移植術」
歯周病治療を行った後、画像のように「歯が長くなる」ことがあります。
これは、これまで歯茎が腫れている状態のため見えなかった部分が、歯周病治療により腫れが引き、本来の状態が見えてきた状態です。
どうしても見た目が悪くなってしまうのですが、当院では「歯肉移植術」を利用し、審美的に改善することも行っています。


Step1 歯肉の採取
上あごの奥歯の内側から移植する歯肉を採取します。

Step2 歯肉の移植
移植する箇所の歯茎を切り開き、その中に採取した歯肉を入れます。

Step3 歯茎の縫合
歯肉を採取するために切開した歯茎は2週間程度でもとどおりになります。移植された歯茎はおよそ1ヶ月程度で傷跡がなくなり、周囲の歯茎と区別がつかない自然な状態になります。
歯周病を甘く見てはいけません。早めのご来院を!
歯周病は、お口の中だけのトラブルにとどまらず、全身に対して大きな悪影響があると考えられています。
歯周病になることで歯ぐきが化膿し、切れた毛細血管に歯周病菌が侵入することで、様々な疾患の原因になります。
関連性が報告されている中には、以下のような症例があります。

糖尿病
重度の歯周病の場合、軽度の人に比べ2年後に糖尿病が悪化している率が5倍高くなります。
心臓病
動脈硬化などの原因として歯周病があると考えられており、健康な人と比較して心筋梗塞や狭心症などの心臓病発症のリスクが2.8倍になると言われています。
早産・低体重児
歯周病が進行していた母親は、健康な母親に比べて低体重児を出産しやすいという報告があります。
また、妊娠中の歯周病をそのままにしておくと早産の確率が高まります。
他にも、ガンや肺炎、脳卒中などとの関連性が指摘されています。
医学研究が進み、今や歯周病は、お口の中だけの病気ではないというのが専門家の共通認識です。
歯周病になることで歯を失うだけでなく、命にもかかわる大きな病気になりえるという認識を持ってください。
そして、今歯周病になっている人は、ぜひ早急に治療を開始することをおすすめします。
reservation あなたにあった
最良の歯科治療を
当院では、患者さんが抱えていらっしゃるお口のお悩みや疑問・不安などにお応えする機会を設けております。どんなことでも構いませんので、私達にお話ししていただけたらと思います。ご興味がある方は右記からお問い合わせください。