目次
お口の中の「お悩み」、私たちが「真摯に向き合います」
「もっと自信を持って笑いたい」
「食事をもっと楽しみたい」
「入れ歯の不便さから解放されたい」
当院には、そんな想いを抱えて来院される方がたくさんいらっしゃいます。
歯を失うと、噛む力だけでなく、笑顔や会話への自信まで失ってしまうことがあります。でも、諦める必要はありません。インプラント治療によって、自信をもって「笑える・噛める」毎日を取り戻すことができます。
お一人で悩みを抱え込む必要はありません。お口のお悩みについて、歯科医師である私たちができる限りサポートいたします。まずはお気軽にご相談ください。
当院の目指す医療
「その治療、心の底から家族におすすめしますか?」——これが私たちの合言葉です。
最高ではなく「最良」の治療を。患者さん一人ひとりのお口の状態、ライフスタイル、ご予算に合わせた最適な治療プランをご提案いたします。
当院が選ばれる3つの理由
専門医チーム体制
世界的に広く使用されている
ストローマンを採用
充実の設備環境
理由1 ハーバード大学などで研鑽を積んだインプラント専門医が複数在籍
当院には、ハーバード大学歯学部インプラント科で研鑽を積んだ歯科医師をはじめ、国際インプラント学会(ITI)フェローや日本口腔インプラント学会口腔インプラント専門医など、高い専門性を持つドクターが複数在籍しています。
インプラント治療の成功は、担当医の技術と経験に大きく左右されます。当院では、国内外で研鑽を重ねた歯科医師が在籍しており、難症例を含むさまざまなケースのインプラント治療に取り組んでいます。
また、口腔外科医・麻酔科医・歯科技工士・歯科衛生士がチームを組み、治療前から治療後のメンテナンスまで一貫してサポートする体制を整えています。
理由2 世界的信頼のメーカー「ストローマン」純正部品を採用
インプラントメーカーは国内外合わせて150〜200社あると言われています。当院では世界的に広く使用されている「ストローマンインプラントシステム」を採用しています。
ストローマンは現在70ヶ国以上で使用されており、日本国内でも広く使用されている信頼性の高いインプラントです。長年の研究に基づく豊富な臨床データと、厳格な品質管理が特長です。
当院ではすべての部品を純正品で統一し、精度を確保した治療を行っています。
ストローマンインプラントのメリット
人体への影響が少ないSLA加工により、治療期間の短縮が期待できます
骨造成などを伴わない場合、手術が1回で済むケースもあります


理由3 専用手術室・最新歯科CTなど、安全な治療を支える充実の設備
インプラント治療の安全性は、設備環境にも大きく左右されます。当院では以下の設備を完備し、より安全な治療環境を整えています。
歯科用CT
従来のレントゲンでは把握できなかった骨の厚さ、神経・血管の位置を3次元的に確認できます。最小限の被曝で精密な検査が可能です。
シミュレーションソフト
CT画像をもとに、埋入位置・角度・深さを事前にシミュレーションします。これにより、手術計画をより具体的に立てることができます。
サージカルガイド
シミュレーション結果を反映したマウスピース型の装置です。計画に沿った位置への埋入をサポートします。
クラスB滅菌器
大学病院と同等レベルの滅菌システムを導入しています。中空構造の内部までしっかり滅菌できるドイツ製の滅菌機を完備しており、院内感染対策を徹底しています。
インプラントのメリットとデメリット
インプラント治療を検討される際は、メリットだけでなくデメリットも理解した上でご判断いただくことが大切です。
メリット1 高い咀嚼効率と審美性
インプラントは、天然の歯の約8割の力で噛むことができると言われています。入れ歯では難しかった硬いものや粘り気のあるものも、しっかりと噛んで食事を楽しめるようになります。
また、見た目も自然で美しく仕上がるのが特長です。入れ歯のような金属のバネが見えることもなく、周囲の方に気づかれることはほとんどありません。さらに、噛む力が顎の骨に伝わるため、骨が痩せるのを防ぐ効果も期待できます。
メリット2 コスト面の安心と医療費控除
インプラント治療は1本あたり30万〜50万円程度と高額な治療になります。しかし、ブリッジのように周囲の健康な歯を削る必要がなく、周囲の歯への負担が少ないため、長期的に見ると他の治療費を抑えられる可能性があります。
また、インプラント治療は医療費控除の対象となります。年間10万円を超える治療費については確定申告で控除を受けられるため、実質的な負担を軽減することができます。
デメリット リスクとメンテナンスの必要性
インプラント治療は外科手術を伴うため、出血・神経損傷・感染などのリスクがあります。当院では精密な検査と計画、徹底した感染対策でリスクを最小限に抑えていますが、これらの可能性についてはご理解いただく必要があります。
また、治療後は「インプラント周囲炎」という歯周病に似た症状を予防するため、3〜6ヶ月ごとの定期メンテナンスが必要です。ご自宅での丁寧なブラッシングと合わせて、長くインプラントを使い続けるための習慣として取り組んでいただきます。
当院のインプラント治療の特徴
インプラント治療を成功させるために大切なことは、術前に精密な情報(データ)を取得し、正確な治療計画を実行することです。
当院では「経験や勘」に頼るのではなく、精密機器を活用した「データ」に基づいた安全なオペ体制を整えています。
特徴① 人為的なミスを減らすことを目指した「3Dコンピューターインプラント」
当院では、高解像度CTとシミュレーションソフトを活用した「3Dコンピューターインプラント」を導入しています。
CT画像から神経や血管の位置を3次元的に把握し、コンピューター上で理想的な埋入位置・角度・深さを計画。その計画をもとに「サージカルガイド」というマウスピース型の装置を作製します。
手術時にはこのガイドを使用することで、計画通りの位置に精密にインプラントを埋入することができます。これにより、人為的な誤差を減らし、安全性と精度に配慮した治療を心がけています。
特徴② 切開を抑えることを目指したインプラント治療
従来のインプラント手術では、歯茎を大きく切開して骨を露出させる方法が一般的でした。しかし当院では、精密検査とシミュレーションによって歯茎の中の状態を十分に把握することで、症例によっては歯茎の切開を最小限に抑えることが可能です。
切開を小さくすることで、術後の痛みや腫れが軽減され、患者さんの精神的・肉体的な負担を大幅に軽くすることができます。
※すべてのケースで適用できるわけではありません。精密検査の結果、従来の方法が適切と判断される場合もあります。
特徴③ 他院で「治療が難しい」と断られた症例にも対応しています
当院には、他の歯科医院で「インプラント治療は難しい」と断られた患者さんも多くご来院されています。以下のようなケースでも、専門的な知識と技術で対応してきた実績があります。
糖尿病/心臓病をお持ちの方
全身疾患をお持ちの方は、手術に伴うリスクが高くなるため、一般的な歯科医院では治療をお断りされることがあります。
当院では、体調の管理と生体モニタリングを注視しながら、必要に応じて内科医の判断も仰ぎつつ慎重にオペを進めます。他院で断られた方も、諦めずにまずはご相談ください。
骨が少ない/薄い方
インプラントを埋入するためには、十分な量の顎の骨が必要です。しかし、歯を失ってから時間が経過していたり、歯周病の影響で骨が痩せてしまっている方も少なくありません。
当院にはGBR、ソケットリフト、サイナスリフトなどの骨造成技術を持つ専門医が在籍しており、骨が少ない・薄いという理由で断られた方も多く治療しています。
※すべてのケースでインプラント治療が可能になるわけではありません。
特徴④ 眠ったような状態のまま治療を受けられる静脈内鎮静法
「手術が怖い」「痛みに敏感」という方のために、麻酔専門医による「静脈内鎮静法」をご用意しています。
点滴から鎮静剤を投与することで、眠ったようなリラックスした状態で治療を受けることができます。意識はありますが、不安や恐怖が軽減され、「気づいたら手術が終わっていた」と感じる方もいらっしゃいます。
※効果には個人差があります。
オプション料金:150,000円(税込)
特徴⑤ 「総入れ歯」でお悩みの方、「オペ当日」においしく食事をしたい方も安心の最新治療
All-on-4(総入れ歯で悩まれている方向け)
All-on-4(オールオンフォー)は、4~6本のインプラントで片顎すべての歯を支える画期的な治療法です。
従来の方法では歯を失った本数分のインプラントが必要でしたが、この治療法なら4〜6本のインプラントで10〜12本の歯を支えることができます。手術当日に仮歯を装着するため、その日から食事ができるようになります。
※実際にどの程度噛めるかは症例によって異なります。
総入れ歯の不安定さや違和感にお悩みの方に、特におすすめの治療法です。
抜歯即時荷重(オペ当日に歯を入れる治療法)
抜歯即時荷重とは、抜歯と同時にインプラントを埋入し、その日のうちに仮歯を装着する術式です。
通常は抜歯後に骨が回復するのを待ってからインプラントを埋入しますが、この方法なら治療期間が短くなる可能性があります(適応には条件があります)。また、抜歯直後の骨を利用するため、骨の温存効果も期待できます。
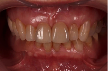
症例紹介
当院でインプラント治療を受けられた患者さんの症例をご紹介します。
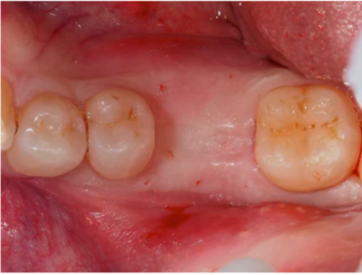
症例①:奥歯・通常のインプラント埋入


※上記画像は、インプラント治療の症例になります。
| 治療内容 | 右下第1大臼歯(6)インプラント埋入 |
| 費用 | 465,000円(税込) 治療費内訳 インプラント検査 15,000円(税込) インプラント埋入手術 310,000円(税込) 上部構造(ジルコニア) 140,000円(税込) ※いずれも現在の当法人での提供価格となります。 |
| 治療期間 | 約2ヶ月 |
| リスク | 下歯槽神経の損傷、オトガイ下動脈の損傷、術後の感染 |
| 副作用 | 術後の痛みと腫れと内出血が出る可能性があります |
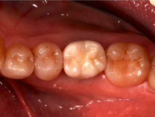
症例②:奥歯・骨移植を伴うインプラント埋入


※上記画像は、インプラント治療の症例になります。
| 治療内容 | 右下第1大臼歯(6)インプラント埋入と骨移植 |
| 費用 | 550,000円(税込) 治療費内訳 インプラント検査 15,000円(税込) インプラント埋入手術 310,000円(税込) インプラント上部構造(ジルコニア) 140,000円(税込) 骨再生誘導(GBR)法 85,000円(税込) ※いずれも現在の当法人での提供価格となります。 |
| 治療期間 | 約3ヶ月 |
| リスク | 下歯槽神経の損傷、オトガイ下動脈の損傷、術後の感染 |
| 副作用 | 術後の痛みと腫れと内出血が出る可能性があります |
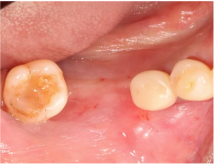
症例③:奥歯・抜歯即時インプラント埋入


※上記画像は、インプラント治療の症例になります。
| 治療内容 | 右下第1大臼歯(6)インプラント抜歯即時埋入 |
| 費用 | 495,000円(税込) 治療費内訳 インプラント検査 15,000円(税込) インプラント即時埋入手術 340,000円(税込) インプラント上部構造 140,000円(税込) ※いずれも現在の当法人での提供価格となります。 |
| 治療期間 | 約3ヶ月 |
| リスク | 下歯槽神経の損傷、オトガイ下動脈の損傷、術後の感染 |
| 副作用 | 術後の痛みと腫れと内出血が出る可能性があります |
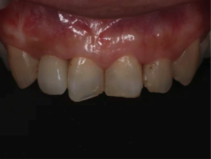
症例④:前歯・インプラント埋入とGBR


※上記画像は、インプラント治療の症例になります。
| 治療内容 | 上顎右側前歯(側切歯)インプラント埋入と骨移植 |
| 費用 | 585,000円(税込) 治療費内訳 インプラント検査 15,000円(税込) インプラント埋入手術 310,000円(税込) インプラント仮歯 35,000円(税込) インプラント上部構造 140,000円(税込) 骨移植(GBR) 85,000円(税込) ※いずれも現在の当法人での提供価格となります。 |
| 治療期間 | 約4ヶ月 |
| リスク | 術後の感染 |
| 副作用 | 術後の痛みと腫れと内出血が出る可能性があります |
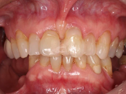
症例⑤:前歯・抜歯即時インプラント埋入


※上記画像は、インプラント治療の症例になります。
| 治療内容 | 上顎両側前歯(中切歯)抜歯即時インプラント埋入 |
| 費用 | 1,045,000円(税込) 治療費内訳 インプラント検査 15,000円(税込) インプラント即時埋入手術(2本) 680,000円(税込) インプラント仮歯(2本)70,000円(税込) インプラント上部構造(2本)280,000円(税込) ※いずれも現在の当法人での提供価格となります。 |
| 治療期間 | 約3ヶ月 |
| リスク | 術後の感染 |
| 副作用 | 術後の痛みと腫れと内出血が出る可能性があります |
歯科医師紹介
ハーバード大学などでインプラント治療の研鑽を積んだ歯科医師を中心としたチームアプローチ
当院では、インプラント専門医・認定医を中心に、口腔外科医・麻酔科医・歯科技工士・歯科衛生士がチームを組んで治療を行っています。
治療計画から手術、最終的な被せ物の装着まで一貫して専門家が担当しますので、最初から最後まで安心して治療を受けていただけます。また、複数の専門家の目で治療計画をチェックすることで、より安全で質の高い治療を提供しています。
インプラント専門医・認定医
日本口腔インプラント学会
口腔インプラント専門医
丸尾 勝一郎
日本口腔インプラント学会 口腔インプラント専門医 / 日本補綴歯科学会 専門医 / ITIフェロー 他
※恵比寿マルオ歯科院長兼任のため、ご希望の院にいないこともあります。ご予約の際にご確認ください。
日本口腔インプラント学会 口腔インプラント専門医 / 日本補綴歯科学会 専門医 / ITIフェロー 他
※恵比寿マルオ歯科院長兼任のため、ご希望の院にいないこともあります。ご予約の際にご確認ください。
インプラント認定医
篠原 俊介
ハーバード大学インプラント科 認定医 / 日本顎咬合学会 認定指導医 / 厚生労働省歯科医師 臨床研修指導医
ハーバード大学インプラント科 認定医 / 日本顎咬合学会 認定指導医 / 厚生労働省歯科医師 臨床研修指導医
インプラント認定医
原田 正守
日本顎関節学会専門医 / 国際口腔インプラント学会認定医 / ノーベルバイオケア講師 他
日本顎関節学会専門医 / 国際口腔インプラント学会認定医 / ノーベルバイオケア講師 他
インプラント治療の流れ
インプラント治療は、精密な検査から始まり、手術、そしてメンテナンスまで、いくつかのステップを経て進めていきます。当院での治療の流れをご紹介します。
①初診相談・精密検査
まずはお口の状態を詳しく調べます。視診・触診に加えて、CTによる3次元画像診断を実施し、骨の量や質、神経・血管の位置などを詳細に把握します。これらの検査結果をもとに、インプラント治療の可否を判断します。
②治療計画説明とインフォームドコンセント
検査結果をもとに、複数の治療プランを作成します。それぞれのプランについて、費用・期間・リスクを比較してわかりやすくご説明します。患者さんに十分ご納得いただいた上で、治療方針と手術日程を決定します。
③一次手術(インプラント埋入)
事前に作製したサージカルガイドを使って、計画通りの位置にインプラントを埋め込みます。手術時間は1本あたり約30分程度です。局所麻酔を行うため、術中の痛みはほとんどありません。
④治癒期間と仮歯による審美補綴
インプラントが骨としっかり結合するのを待つ期間です。下顎で約2〜3ヶ月、上顎で3〜5ヶ月程度かかります。この間は必要に応じて仮歯を装着しますので、見た目や噛む機能を確保しながら日常生活を送っていただけます。
⑤最終補綴装着とメンテナンス開始
骨との結合が確認できたら、最終的な人工の歯(上部構造)を装着します。色や形を周囲の歯に合わせて作製するため、自然で美しい仕上がりになります。装着後は、3〜6ヶ月ごとの定期メンテナンスで長期的な健康を維持していきます。
よくある質問
インプラント治療についてよくいただくご質問にお答えします。
インプラント治療は痛いですか?
手術中は局所麻酔を行いますので、痛みを感じることはほとんどありません。麻酔が切れた後は多少の痛みがありますが、処方する痛み止めで十分に対応できます。また、当院では「静脈内鎮静法」もご用意しておりますので、手術への恐怖心が強い方も安心して治療を受けていただけます。
治療期間はどのくらいですか?
標準的な奥歯1本の治療で約2〜3ヶ月です。前歯や骨造成が必要な場合は3〜5ヶ月程度かかることがあります。患者さんの状態によって異なりますので、精密検査後に詳しくご説明いたします。
インプラントはどのくらい持ちますか?
適切なメンテナンスを続けていただければ、10年以上使用されている方も多くいらっしゃいます。インプラント自体は非常に耐久性が高いですが、長持ちさせるためには定期的なメンテナンスとご自宅でのケアが大切です。
他院で「骨が足りない」と断られましたが、治療可能ですか?
当院には骨造成技術を持つ専門医が在籍しておりますので、骨が少ない・薄いという理由で他院で断られた方も多く治療しています。まずは精密検査を行い、治療の可能性を判断いたしますので、お気軽にご相談ください。
セカンドオピニオンは受けられますか?
はい、セカンドオピニオンも承っております。他院で提案された治療内容について、当院の専門医が別の視点から診断・アドバイスいたします。また、全メーカーのインプラントに対応可能ですので、他院で埋入されたインプラントのメンテナンスやトラブル対応もお任せください。
分割払いはできますか?
はい、デンタルローンをご用意しております。最大120回払いまで対応しており、月々のご負担を抑えながら治療を受けていただけます。また、インプラント治療は医療費控除の対象となりますので、確定申告で税金の還付を受けることも可能です。
インプラント費用と保証制度
当院では、治療にかかる費用を明確にお伝えし、分割支払いのオプションに加え、長期保証で経済的なリスクを軽減しています。治療前にしっかりとお見積りをお出しいたしますので、ご不明な点はお気軽にお尋ねください。
インプラント埋入(OPE代)
| 術式・処置 | 税込価格 |
|---|---|
| 普通埋入 | ¥310,000 |
| 即時埋入 | ¥340,000 |
| GBR | ¥85,000 |
| ソケットリフト | ¥85,000 |
| ソケットプリザベーション | ¥85,000 |
| サイナスリフト | ¥200,000〜¥250,000 |
| 静脈内鎮静法 | ¥150,000 |
上部構造(被せ物)
| 種類 | 税込価格 |
|---|---|
| ジルコニア | ¥140,000 |
| メタルボンド | ¥120,000 |
| オールジルコニア | ¥95,000 |
| レジン前装冠 | ¥90,000 |
| 前歯加算 | ¥35,000 |
| 仮歯(前歯) | ¥35,000 |
| 仮歯(臼歯) | ¥25,000 |
All-on-4 / All-on-6
| メニュー | 税込価格 |
|---|---|
| All-on-4(4本埋入) | ¥2,800,000 |
| All-on-6(6本埋入) | ¥3,200,000 |
※OPE・ガイド代・上部構造・静脈内鎮静法の費用なども含む
オプション
| 項目 | 税込価格 |
|---|---|
| CT撮影・診察 | ¥15,000 |
| サージカルガイド | ¥45,000 |
義歯
| メニュー | 税込価格 |
|---|---|
| 【上顎】ロケーター義歯(4本埋入) | ¥1,800,000 |
| 【下顎】ロケーターまたはドルダーバー義歯(2本埋入) | ¥1,200,000 |
お支払い方法・デンタルローン
お支払いは、現金・クレジットカード・デンタルローン(最大120回払い)に対応しております。デンタルローンと医療費控除を併用することで、実質的なご負担を軽減することも可能です。
デンタルローンお支払い例
| 治療内容 | 治療費総額 | 分割回数 | 月々のお支払い |
|---|---|---|---|
| インプラント1本 (普通埋入+ジルコニア) |
¥450,000 | 60回 | 月々約¥8,600〜 |
| インプラント2本 | ¥900,000 | 84回 | 月々約¥13,000〜 |
| All-on-4 | ¥2,800,000 | 120回 | 月々約¥29,000〜 |
※金利や手数料は金融機関によって異なります。詳しくはカウンセリング時にご説明いたします。
保証制度
当院では、定期メンテナンスを継続していただくことを条件に、インプラント体・上部構造それぞれに保証をお付けしています。
保証期間中にインプラント体の脱落や上部構造の破損などが生じた場合は、無償または減額で再治療いたします。長く安心してインプラントをお使いいただくための制度です。
保証内容
| 対象 | 保証期間 |
|---|---|
| インプラント体 | 5年間 |
| 上部構造(被せ物) | 2年間 ※3年目以降は一部負担金あり |
〈保証の適用条件(インプラント体)〉
定期的な検診、クリーニング(最低でも半年に1度)
ナイトガードの装着
歯磨き、生活習慣など、注意事項の遵守
※喫煙されている方は、インプラント体の保証割引率が半分となります。
上部構造の保証割引一覧
| 期間 | ジルコニア (¥140,000) |
オール ジルコニア (¥95,000) |
メタルボンド (¥120,000) |
レジン前装 (¥90,000) |
|---|---|---|---|---|
| 〜1年 | ¥140,000 | ¥95,000 | ¥120,000 | ¥90,000 |
| 〜2年 | ¥140,000 | ¥95,000 | ¥120,000 | ¥90,000 |
| 〜3年 | ¥98,000 | ¥66,500 | ¥84,000 | ¥63,000 |
| 〜4年 | ¥84,000 | ¥57,000 | ¥72,000 | ¥54,000 |
| 〜5年 | ¥70,000 | ¥47,500 | ¥60,000 | ¥45,000 |
| 〜6年 | ¥56,000 | ¥38,000 | ¥48,000 | ¥36,000 |
| 〜7年 | ¥42,000 | ¥28,500 | ¥36,000 | ¥27,000 |
| 〜8年 | ¥28,000 | ¥19,000 | ¥24,000 | ¥18,000 |
| 〜9年 | ¥14,000 | ¥9,500 | ¥12,000 | ¥9,000 |
| 9年以降 | ¥14,000 | ¥9,500 | ¥12,000 | ¥9,000 |
※保証期間は被せ物を合着した日付からです。
※定期検診(最低でも1年)されていない方は割引金額が半分になります。
※保証を使用した場合、2回目からは保証期間が半分に短縮されます。
※税率の改正・材料の高騰の場合は値段が変更になる可能性があります。
インプラントでお悩みの方はまずはご相談ください
私たちは、患者さんのご希望をしっかりと把握した上で、すべての選択肢とそれぞれのメリット・デメリットを納得いただけるまでご説明いたします。
「自分にインプラントが合っているのかわからない」「費用や期間が心配」「他院で断られた経験がある」——どんなお悩みでも構いません。
まずは無料カウンセリングで、担当医と直接お話しください。インプラント専門医が、あなたの不安にすべてお答えします。