TREATMENT インプラント
目次
- ハーバード大学インプラント科認定医在籍
- 睡眠無痛治療に対応
- 世界ブランド「ストローマン」システム
岐阜のこの地で「グローバルスタンダード」のインプラント治療。大学病院「以上」のレベルの治療が受けられます。
体制1:ハーバード大学で研鑽を積んだドクターが在籍

- ハーバード大学インプラント科 認定医
- 口腔外科の専門家
- 30年のインプラント臨床経験
体制2:睡眠無痛治療(静脈内鎮静法)

- 朝日大学麻酔科の麻酔専門医による睡眠無痛治療
- 気づいた時には治療が終わっています
- 11万円(税込)
体制3:人為的ミスを排除する「3Dコンピューターインプラント」

- CTの利用
- ガイド/シミュレーションソフトの利用
- 手術室も完備
体制4:世界シェアを誇るインプラントメーカー「ストローマン」


当院はストローマン社から高評価をいただいています。
体制5:他院で断られた方でも対応可能
- 難症例でも施術できます
- 顎の骨が少ない方にも対応
- オペ当日に歯が入る術式も可能です
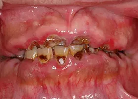
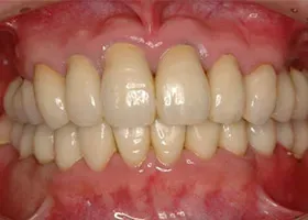
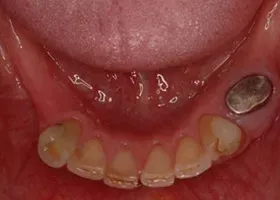
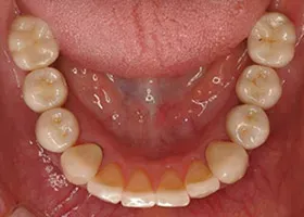
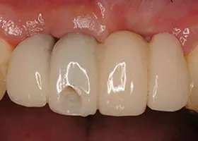
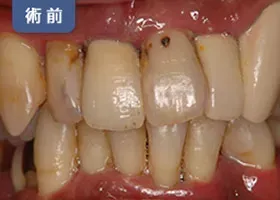
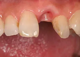
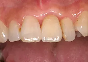
症例紹介










※上記症例は、歯を失った方に対してインプラントを埋入した症例となります。
安心してインプラント治療を任せられる歯科医院とは
インプラントには学会が認定する資格がありますが、その資格がなくとも「歯科医師の免許」があれば誰でも行える治療です。
資格がすべてとは言いません。
資格がなくとも、高いクオリティでインプラント治療を行っている歯科医師は多くいます。
しかし同時に、「なぜこのような治療をしたのか」と目を疑うようなインプラント治療をする歯科医師も存在します。
インプラント治療は「外科処置」が伴いますので、患者さんは「経験のある腕の良いドクターに治療をして欲しい」と思われると思いますが、腕の良し悪しは、正直、患者さんには分からない部分になります。
ではどうするのか?
オペ室、滅菌体制、担当医の経験、CTの有無などの一定の基準はありますが、あくまで「一定の基準」でありすべてではありません。後は、担当医の「想いの強さ」になると私は思います。
そのため、皆さんに伝えたいことは、非常に原始的ですが、「直接ドクターと話す機会を設け、そのドクターの人間性を知る」ことをお勧めします。
話をすることや質問の返答内容で、担当医の人間性をある程度は把握できます。
また、本気で患者さんのことを想って治療に臨んでいるドクターは、患者さん自身も何か感じることもあると思います。
次節より、当院のインプラント体制をご紹介します。

当院のインプラント体制の特徴をご紹介します
まずは当院の体制を知っていただくために、特徴的な4つをご紹介します。




ハーバード大学で研鑽を積んだドクターが在籍

インプラント治療には高い技術が必要です。
当院のインプラント責任者は、30年にわたるインプラント治療の臨床経験を有しています。
技術力の裏付けとなる経歴・資格をご紹介します。
インプラント責任者の経歴・資格

【資格】
- ハーバード大学インプラント科 認定医
- 日本顎咬合学会 認定指導医
- 厚生労働省歯科医師 臨床研修指導医
【公認】
- ストローマン・インプラント スピーカー
- OJ Active member
- EAO Active member
- SJCD Active member




インプラント担当医の「資格」
インプラントの資格は国内外でたくさんありますが、中にはたった1日のセミナーに参加するだけで手に入れられるものもあります。もちろんそのような資格を持っていたからとしても、それだけで高い技量があるとは認められません。
担当医はハーバード大学での研鑽を積んだ経験豊富なドクターです。
ハーバード大学

朝日大学麻酔科の麻酔専門医と連携した睡眠無痛治療

通常、インプラント治療は「局所麻酔」で行います。
局所麻酔は全身麻酔に比べて肉体への負担が軽く済むというメリットがある一方で、意識ははっきりとしているため、施術中に聞こえる音や振動を感じてしまいます。
歯科治療が苦手な人の中には、こうした物音や歯科医の会話などが極度な緊張・不安・ストレスをもたらし、パニック症状を起こすケースがあります。そうなると、過呼吸・血圧異常など、精神だけではなく肉体にも大きな影響が出てしまいます。
このような状態を回避するため、当院では「睡眠無痛治療(静脈内鎮静法)」を行うことがあります。これを行うと患者さんは「ほぼ眠っている状態」になりますので、痛み、不安、恐怖心から解放され、かつ、治療時の音、振動、不快感もなくなります。
皆さん、「気がついたら治療が終わっていた」とおっしゃいます。
「コンピューターインプラント」で人為的ミスを最小限に
コンピューターインプラントとは、これまで「担当医の経験や勘」で行っていたことを、コンピューターが代わりに行い、人が行うよりも「安全性」「確実性」を飛躍的に高める方法です。当院では「CT」「シミュレーションソフト」「ガイド」の3つを利用します。それぞれご紹介します。

CT
CTは、3次元的にあご・歯・神経・血管の様子を確認することのできる、デンタルレントゲンのような装置です。
これを活用することで、今までは実際に手術をし、歯茎を切開してみなければわからなかったことを、手術前に把握することができ、より安全に治療を進められるようになります。

シミュレーションソフト
CTで得られた情報を専用のシミュレーションソフトに入力することで、インプラントをどのように埋入するかのシミュレーションができます。治療前にコンピューター上で何度もシミュレーションができますので、最善の方法を導き出すことができます。

ガイド
シミュレーションで得られた情報をもとに、ガイドを作製します。
ガイドは、解析の結果をもとにして、インプラントを埋め込む場所・角度・大きさ・深さなどの情報を反映させて作製するマウスピースのようなものです。実際の手術では、ガイドをお口にはめ込んで、ガイドに開いた穴の部分にインプラントを埋入することになります。これにより、手術時の人為的ミスも抑制できます。

切らないインプラント治療

上述した「コンピューターインプラント」を行う場合、「歯茎の切開」は不要になります。歯茎を切開するのは、歯茎の中がどのようになっているかを確認するためなのですが、コンピューターを利用することで歯茎を切開するまでもなく正確に状態を把握できるため切開は必要なくなります。そのため、患者さんの精神的・肉体的負担を軽減することができます。
世界的メーカーの「ストローマン」を必ず利用
インプラントのメーカーは、広く流通しているものでも50~100社程度のものがあります。海外メーカーのものも含めると、その数は150~200社程度とも言われています。
当院では、日本のみならず海外の歯科医師からも高い評価を受けているストローマンの製品を使用しています。
ストローマンインプラント(ITI)

ストローマンは、現在世界70か国以上で使用されており、日本国内でも最大シェアを持つ、信頼性の高いインプラントメーカーです。インプラントメーカーの中でもトップクラスの開発力を有し、豊富な臨床データがあることから、信頼性も高い一流メーカーと言えるでしょう。ストローマンのインプラントは患者さんにとって以下のメリットがあります。
- 人体への影響が少ないSLA加工を施しているため治療期間の短縮が可能。
- 手術が1回で済む(骨造成などを伴う場合は2回のオペが必要になります)。
また、当院は技術力等を総合的に評価され、ストローマン社から認定を受けている歯科医院でもあります。
他院で「治療が難しい」と断られた症例でも対応可能
糖尿病/心臓病をお持ちの方
糖尿病や心臓病、高血圧などがある場合、治療リスクが高くなるためインプラントを断られるケースがあります。しかし近年では、体調の改善と共に、生体モニタリングなどを注視しながら行うことで対応できるケースが増えてきています。当院では、内科医の判断も仰ぎながらオペを進めますので、他院で断られたとしても、諦めずに一度ご相談ください。
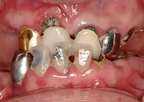
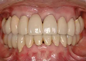
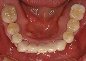
骨が少ない/薄い方
顎の骨の厚みが少ないことで治療を断られるケースがあります。インプラント治療は顎の骨にインプラントを埋入する治療なので、土台となる顎の骨の厚みがないとそもそも治療ができないためです。しかし、技術の進歩もあり「骨造成」や「傾斜埋入(All-on-4等)」等を行うことで治療が可能になっています。当院ではどちらにも対応しています。




※上記症例は骨造成術を施し、インプラントを埋入した症例となります。
総入れ歯でお悩みの方、手術当日からおいしく食事をしたい方へ
インプラント治療は治療が終了し、しっかり噛めるようになるまで数か月、ケースによっては1年以上かかる治療です。しかし、適応症例は限定されますが、「オペ当日に噛める」「オペ当日に食事ができる」治療法があります。
それは「All-on-4」「抜歯即時荷重法」の2つになります。それぞれご紹介します。
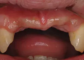
All-on-4(総入れ歯で悩まれている方向け)


※上記症例は無歯顎の方にAll-on-4でインプラントを埋入した症例となります。
All-on-4(オールオンフォー)は、歯がすべて無い方に適応される治療法です。そのため「総義歯がお口に合わない」方にはお勧めの治療法となります。
図のように4本のインプラントを顎の骨に埋め込み、それに固定式の義歯を装着します。
従来法では歯の本数分のインプラントを埋入する必要があったため、総入れ歯の方がインプラントをする場合、費用が高額になるばかりか、身体的負担が多くありました。
しかし、All-on-4が開発され、費用が軽減(半分以下)され、身体への負担も軽微なものになりました。また、手術をしたその日のうちに仮歯の装着ができますので、手術当日から食事が可能です。

抜歯即時荷重(オペ当日に歯を入れる治療法)


※上記症例は抜歯即時加重法でインプラントを埋入した症例となります。
抜歯即時荷重インプラントとは、抜歯と同時にインプラントを埋入する術式です。
通常、抜歯後、傷がいえるまで待つ必要があり、実際にインプラントを埋入するのは数か月先になります。そうなると「治療期間がより長くなる」「顎の骨が痩せてしまい骨造成の必要性が出てくる」等のデメリットがありました。また、歯がない期間があるのもデメリットでした。
しかし、抜歯即時荷重インプラントでは、抜歯と同時にインプラントを埋入し仮歯も装着するため、上記のようなデメリットはなくなります。
適応症例は限定されますが、「治療期間を短くしたい」「歯がない期間をなくしたい」という方におすすめです。ぜひ一度ご相談ください。
当院でのメンテナンスについて
インプラントは施術後のメンテナンスもとても重要です。
当院では、
- 噛み合わせのチェック
- ブラッシングやフロッシングの指導
- セルフケアの難しい汚れに対するより高度な歯科清掃
などを行っています。
インプラント担当医からのメッセージ
様々な理由から歯を失ってしまうと、機能面だけでなく、見た目にも問題が生じてしまいます。
現在使っている入れ歯に満足していないという方も少なくないでしょう。
こうした悩みを解決できる方法の1つが、インプラント術です。
患者さんの状況を診断し、最良の治療方針をご提案します。
私たちは、1人でも多くの患者さんに「相談してよかった」と感じていただけるように、日々研鑽を積んでいます。
ぜひ、一度ご相談ください。

reservation あなたにあった
最良の歯科治療を
当院では、患者さんが抱えていらっしゃるお口のお悩みや疑問・不安などにお応えする機会を設けております。どんなことでも構いませんので、私達にお話ししていただけたらと思います。ご興味がある方は右記からお問い合わせください。