• 来院予約はこちら
  • 私たちについて
医療法人社団 健誠会 ケンデンタルクリニック 医療法人社団 健誠会 ケンデンタルクリニック
  • 私たちについて
  • 来院予約は
    こちら
インプラント、矯正、セラミックなどの 自由診療のご予約はこちらから
虫歯、歯周病、小児歯科などの 保険診療のご予約はこちらから
  • TOP
  • 私たちについて
  •                  ドクター紹介
  •                  100人100ストーリー
  • クリニック一覧
  • 治療一覧
  • お知らせ・お役立ち情報
  • よくあるご質問
  • お問い合わせ
虫歯、歯周病、小児歯科などの 保険診療のご予約はこちらから
インプラント、矯正、セラミックなどの 自由診療のご予約はこちらから
  • 採用情報
  • プライバシーポリシー

Copyright(C)Ken Dental Clinic.All Rights Reserved.

目次アイコン目次

    こんなお悩み、ありませんか?

    当てはまる方は、セラミック治療がおすすめです

    笑ったときに銀歯が見えるのが恥ずかしい

    歯茎の黒ずみが気になって口を開けられない

    金属アレルギーが心配で安心して治療を受けたい

    虫歯の再発を繰り返したくない

    人前に出る仕事だから、第一印象を良くしたい

    そのお悩み、セラミック治療で解決できるかもしれません。

    セラミック治療

    ケンデンタルクリニックでは、見た目の美しさだけでなく、「長期的に健康な状態を保てる」セラミック治療を提供しています。

    セラミック素材は光を通しやすいため、本物の歯のような透明感を再現できます。また、金属アレルギーのリスクがなく、比較的汚れやプラークがつきにくいとされており、日常的なケアをしっかり行うことで長期間清潔な状態を維持しやすいというメリットがあります。

    当院のセラミック治療、4つのこだわり

    高品質素材の厳選

    高品質素材の厳選

    ジルコニア・オールセラミックなど、患者さんのニーズに合わせた素材を厳選

    拡大視野による精密治療

    拡大視野による精密治療

    歯科用ルーペ&マイクロスコープ(最大30倍)で精密な治療を実現

    安心の保証制度

    安心の保証制度

    詰め物:最長3年保証、被せ物:最長3年保証で長く安心

    初期治療の徹底

    初期治療の徹底

    土台となるお口の状態を整えてから、セラミックを装着

    こだわり1 – 高品質素材の厳選(ジルコニア・オールセラミック)

    セラミック治療の仕上がりや耐久性は、素材選びによって大きく左右されます。当院では患者さんのニーズやお口の状況を踏まえ、高品質な素材を厳選しています。

    ジルコニア

    ジルコニア

    金属並みの強度を持ちながら、メタルフリーであることが特徴です。強度と見た目のバランスが良く、特に奥歯など大きな力が加わる部位に適しています。

    オールジルコニア

    オールジルコニア

    セラミック素材の中で最高クラスの強度を誇り、割れや欠けに強いのが特徴です。噛む力が強い方や、奥歯のブリッジなど耐久性を重視したい場合に適しています。

    オールセラミック(E-MAX)

    オールセラミック(E-MAX)

    光の透過性が高く、最も自然な透明感を再現できます。前歯や笑ったときに見える部分の修復に最適です。

     

    項目 ジルコニア オールジルコニア オールセラミック
    (E-MAX)
    強度 ◎(金属並みの強度) ◎◎(最高強度) ○
    審美性 ◎(天然歯に近い) ○(やや不透明) ◎◎(最高の透明感)
    適応部位 奥歯にも対応 奥歯・ブリッジに最適 前歯に最適
    金属アレルギー なし なし なし

    素材を選ぶ際には見た目だけでなく、噛み合わせや歯ぐきの状態、患者さんのライフスタイルなどを総合的に考慮してご提案いたします。

    こだわり2 – 拡大視野による精密治療

    セラミック治療を成功させるには、処置の精度が非常に重要です。当院では、拡大視野での精密な治療を実現するため、歯科用ルーペとマイクロスコープを併用しています。

    肉眼では捉えきれない小さな歯の異常(変色、ヒビなど)や、歯の質(象牙質・エナメル質)のわずかな変化も、詳細に見つけることができます。

    歯科用ルーペ:約2.5倍〜10倍
    マイクロスコープ:約3倍〜30倍

    拡大視野による精密治療

    精密治療がもたらすメリット

    虫歯の削り残しを少なく

    セラミックとの適合精度向上

    2次虫歯のリスク低減

    長期的な安定性の向上が期待できます

    治療中は、ルーペで広い視野を保ちながら段差や隙間を確認し、必要に応じてマイクロスコープで高倍率に切り替えて治療した部分の端(ふち)が歯にしっかり馴染んでいるかを細かく確認します。この併用により、セラミック治療の精密性と長期的な成功率を最大限に高めています。

    こだわり3 – 安心の保証制度

    セラミック治療は決して安価ではありません。だからこそ、長期的に安心して使っていただけるよう、充実した保証制度とアフターケア体制を整えています。

    対象 保証期間
    詰め物(インレー) 最長3年保証
    被せ物(クラウン) 最長3年保証

    〈保証の適用条件〉

    定期検診(年1回)の受診が条件となります。万が一、装着したセラミックに不具合が生じた場合でも、保証制度を活用して再治療のサポートを受けることができます。

    こだわり4 – 「初期治療」の徹底

    初期治療の徹底

    家を建てる時と同じ。基礎工事が最重要です。

    当院では、すぐに詰め物・被せ物の治療に入ることはしていません。患者さんのお話をお伺いし、診査診断を徹底することは当然ですが、お口の状態が悪い場合(虫歯・歯周病)は、まずその改善から行います。

    詰め物・被せ物が入る土台となるお口の状態をしっかりと整備しなければ、すぐに取れてしまったり、場合によっては虫歯や歯周病が進行し再治療になってしまうことがあります。初期治療を徹底することで、再治療のリスクをできるだけ抑えることを目指しています。

    実際の治療例をご紹介

    当院では、多くのセラミック治療症例を通じて培ったノウハウを活かし、患者さんの笑顔に貢献しています。

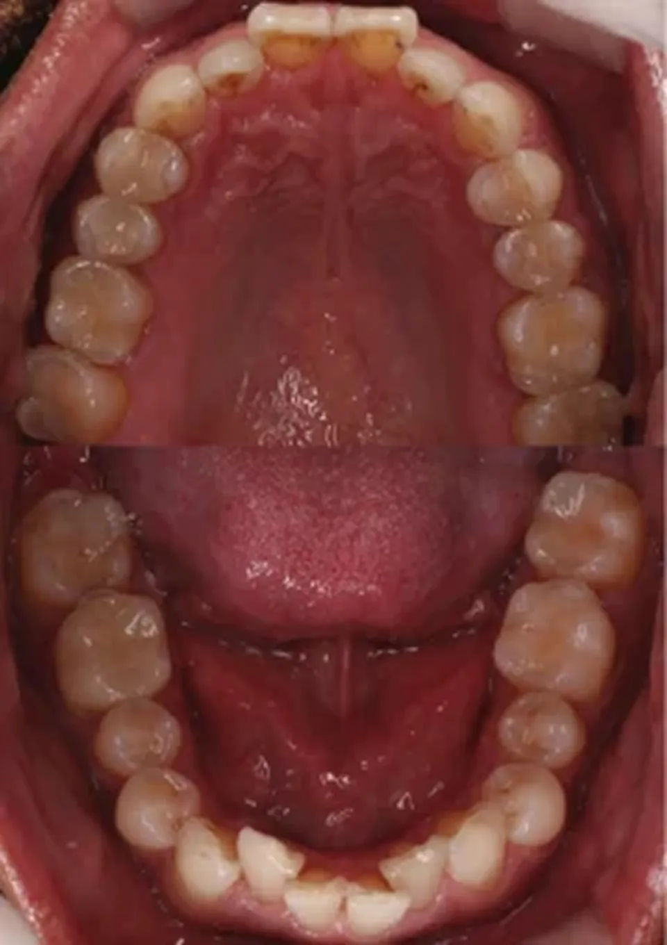
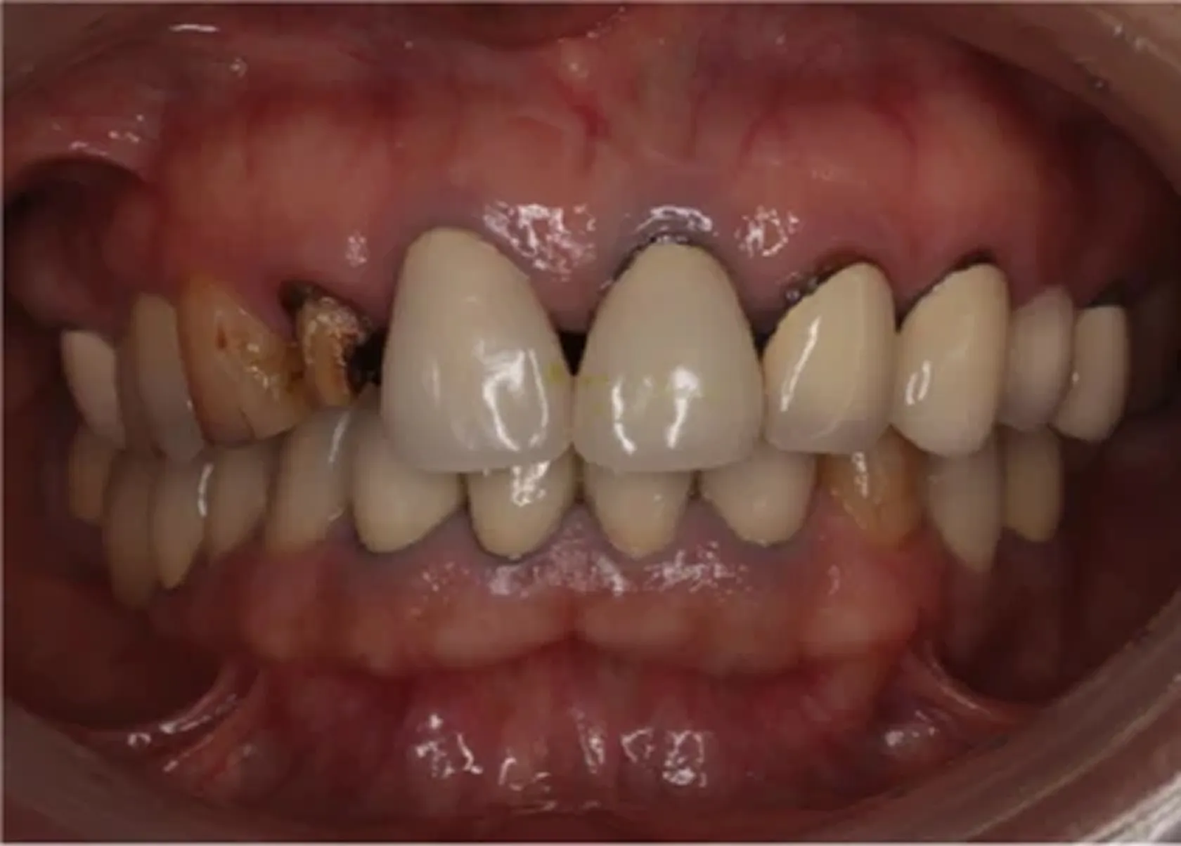
    症例1

    症例1 治療前
    症例1 治療後
    年齢・性別 50歳 女性
    治療内容 右上奥歯3本へのフルジルコニアインレー
    費用 352,000円
    <治療費内訳>
    フルジルコニアインレー:88,000円 x 4
    治療期間 約2ヶ月
    リスク・副作用 ・むし歯が深い場合、神経を取る処置が必要となることがあります。
    ・治療後にしみる、痛みが出る、欠ける・外れるなどの可能性があります。

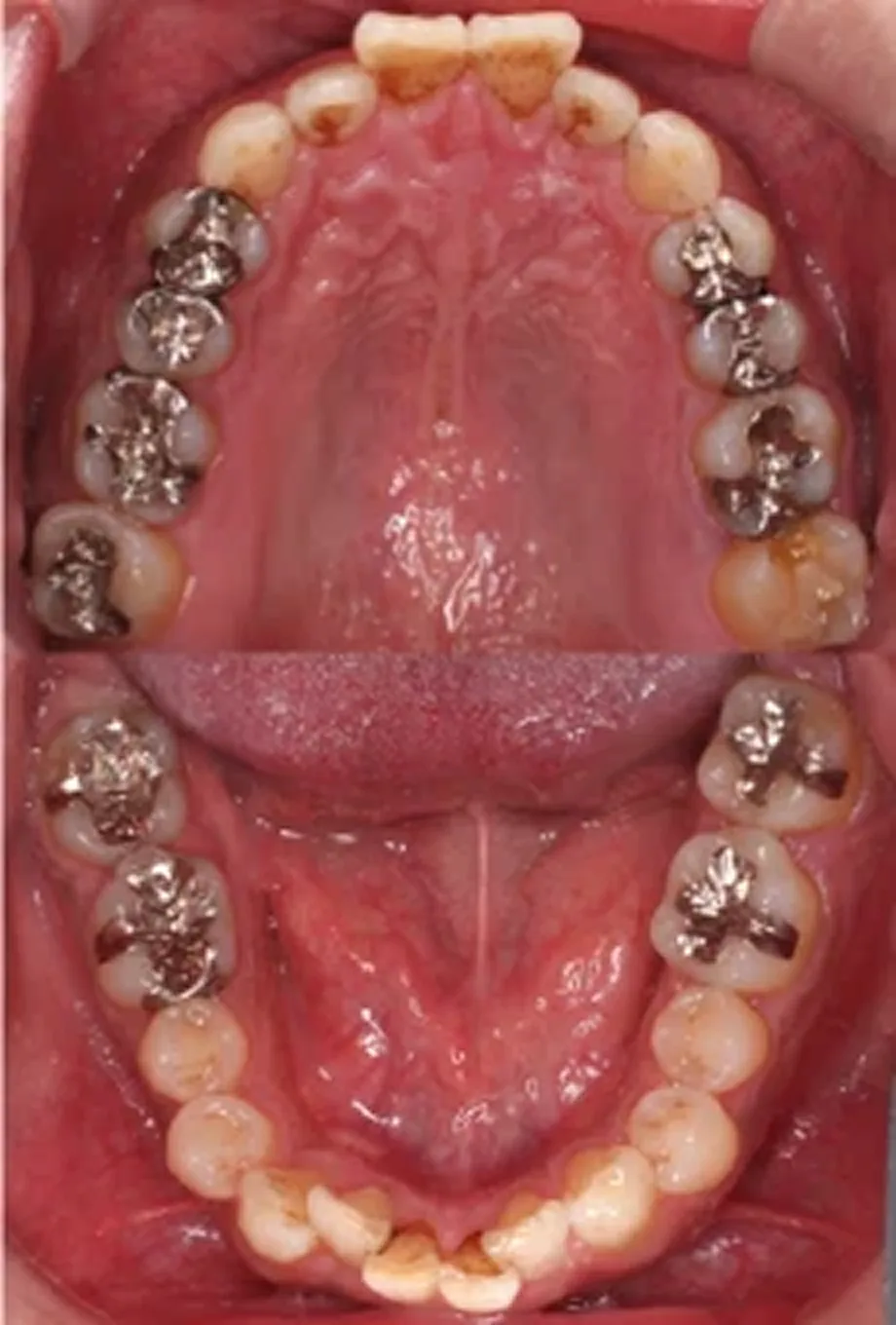
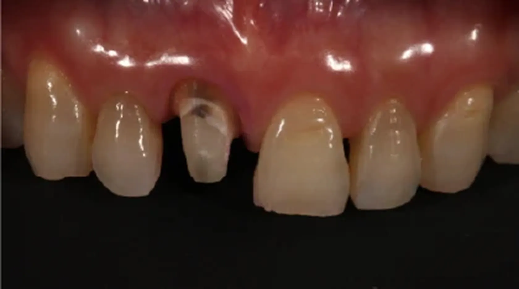
    症例2

    症例2 治療前
    症例2 治療後
    年齢・性別 50歳 女性
    治療内容 メタルフリー治療
    費用 836,000円
    <治療費内訳>
    フルジルコニアインレー:88,000円 x 8
    ダイレクトボンディング:33,000円 x 4
    治療期間 約5ヶ月
    リスク・副作用 ・むし歯が深い場合、神経を取る処置が必要となることがあります。
    ・治療後にしみる、痛みが出る、欠ける・外れるなどの可能性があります。

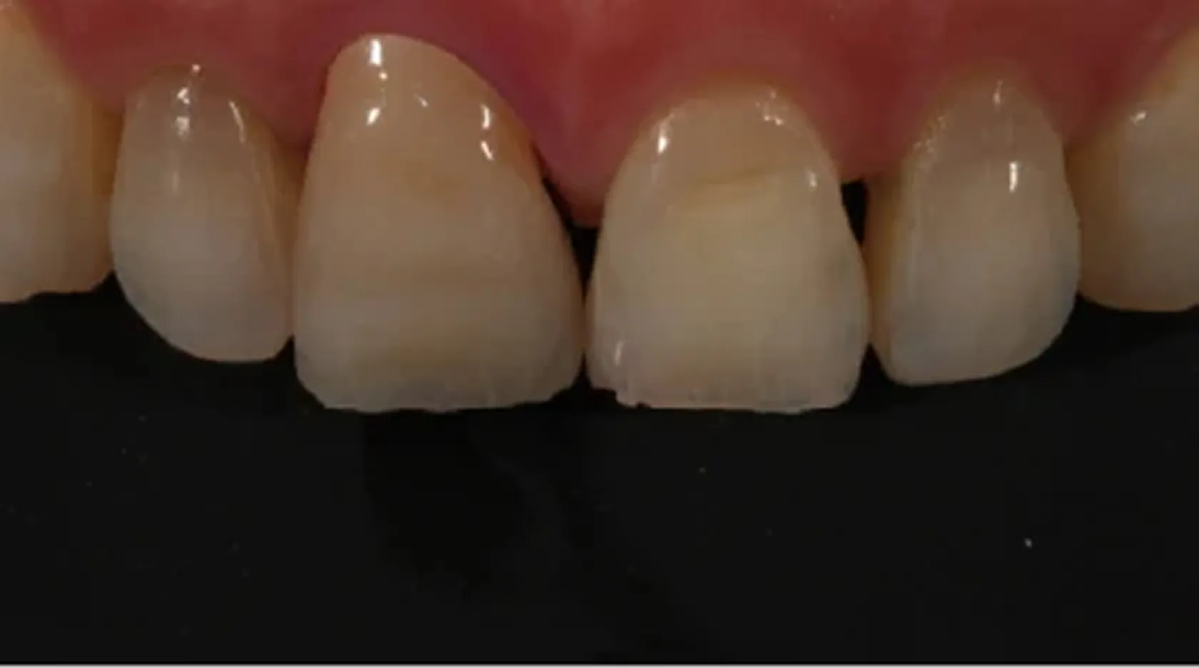
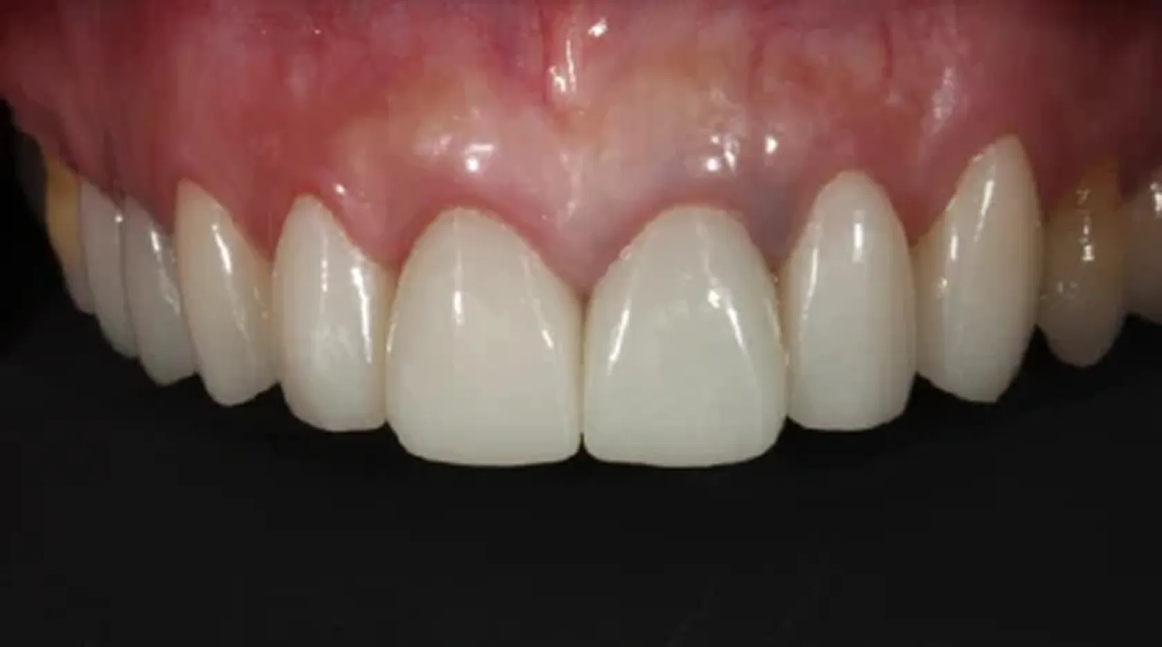
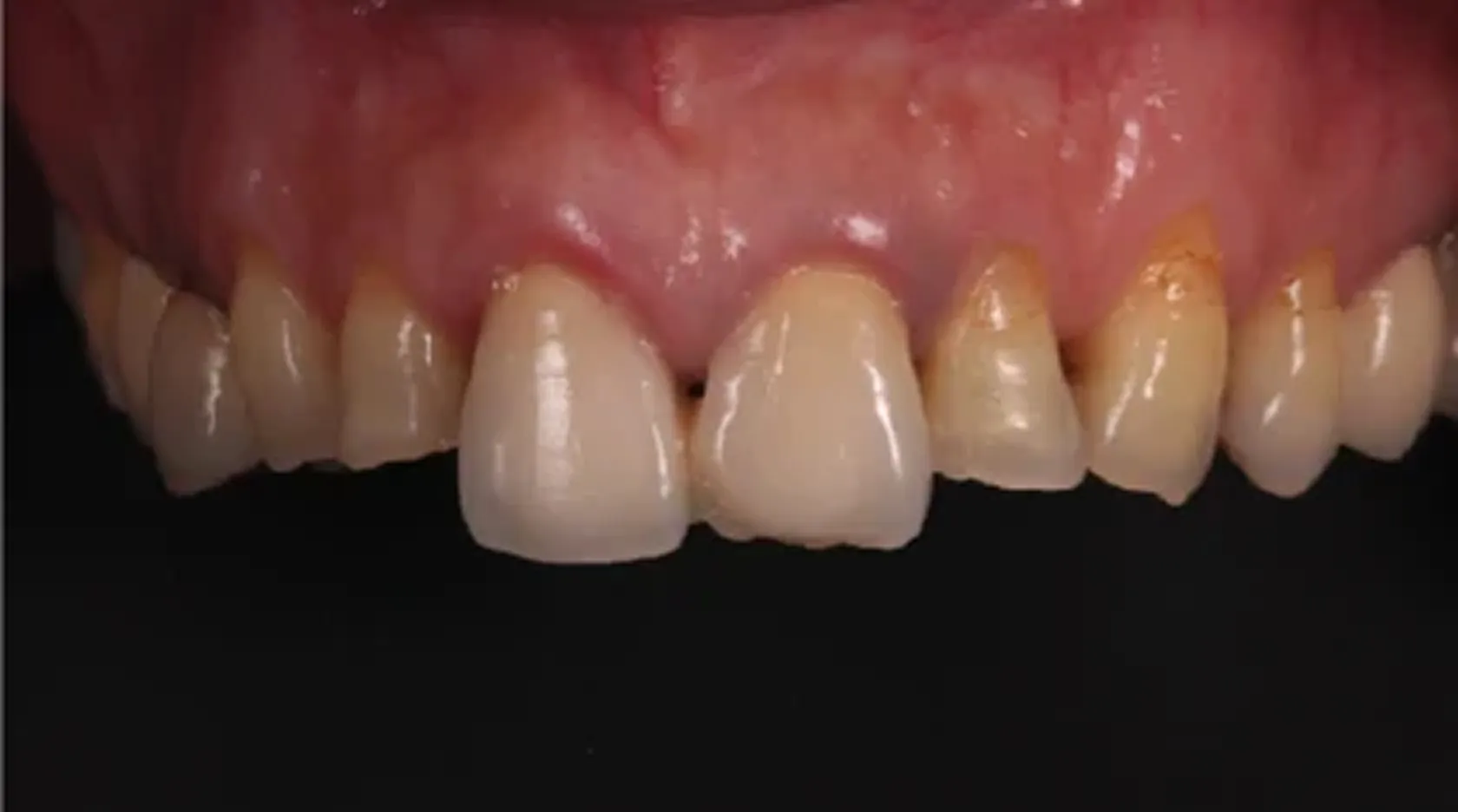
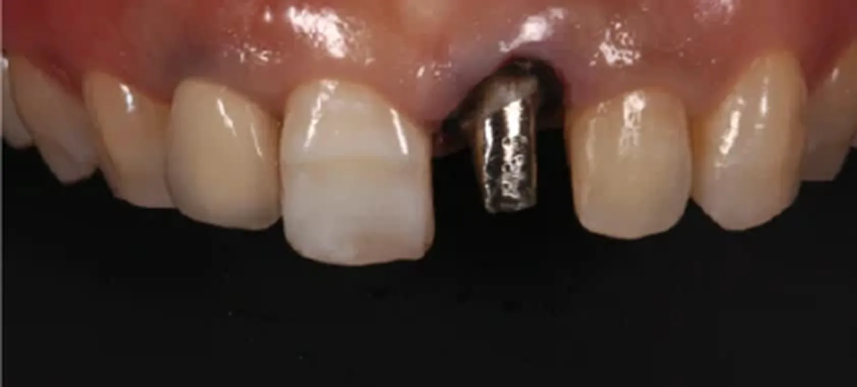
    症例3

    症例3 治療前
    症例3 治療後
    年齢・性別 36歳 男性
    治療内容 左上前歯へのフルジルコニアクラウン
    費用 165,000円
    <治療費内訳>
    フルジルコニアクラウン(前歯):165,000円
    プロビジョナル(仮歯):5,500円
    ファイバーコア(直接法):22,000円
    治療期間 約2ヶ月
    リスク・副作用 ・治療の過程で、実際に使用する被せ物の完成までは仮歯をつけていただきますが、仮歯がとれることがあります。
    ・治療後にしみる、痛みが出る、欠けるなどの可能性があります。

    症例4

    症例4 治療前
    症例4 治療後
    年齢・性別 51歳 女性
    治療内容 右上前歯へのフルジルコニアクラウン
    費用 165,000円
    <治療費内訳>
    フルジルコニアクラウン(前歯):165,000円
    プロビジョナル(仮歯):5,500円
    治療期間 約2ヶ月
    リスク・副作用 ・治療の過程で、実際に使用する被せ物の完成までは仮歯をつけていただきますが、仮歯がとれることがあります。
    ・治療後にしみる、痛みが出る、欠けるなどの可能性があります。

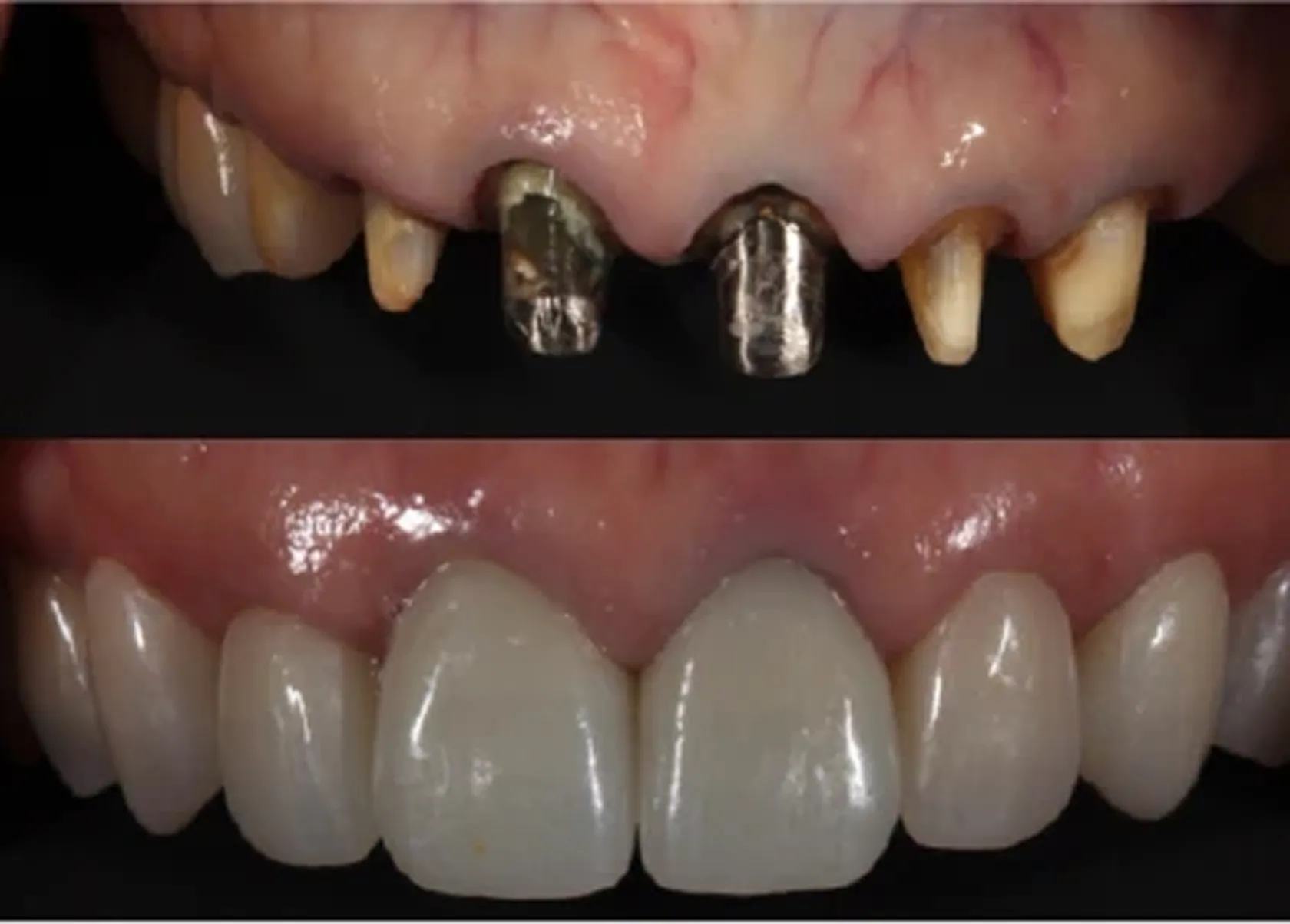
    症例5

    症例5 治療前
    症例5 治療後
    年齢・性別 64歳 男性
    治療内容 上の歯8本へのフルジルコニアクラウン
    費用 1,346,400円
    <治療費内訳>
    フルジルコニアクラウン(前歯):165,000円 x 8
    プロビジョナル(仮歯):5,500円 x 8
    治療期間 約4ヶ月
    リスク・副作用 ・治療の過程で、実際に使用する被せ物の完成までは仮歯をつけていただきますが、仮歯がとれることがあります。
    ・治療後にしみる、痛みが出る、欠けるなどの可能性があります。

    症例6

    症例6 治療前
    症例6 治療後
    年齢・性別 57歳 女性
    治療内容 上の歯6本へのフルジルコニアクラウン
    費用 1,053,800円
    <治療費内訳>
    フルジルコニアクラウン(前歯):165,000円 x 6
    プロビジョナル(仮歯):5,500円 x 6
    ファイバーコア(直接法):22,000円 x 2
    治療期間 約4ヶ月
    リスク・副作用 ・治療の過程で、実際に使用する被せ物の完成までは仮歯をつけていただきますが、仮歯がとれることがあります。
    ・治療後にしみる、痛みが出る、欠けるなどの可能性があります。

    セラミック治療はこんな方におすすめ

    見た目を重視する方

    見た目を重視する方

    銀歯が気になる、自然な白さ・透明感のある歯を求めている方に

    仕事で印象が重要な方

    仕事で印象が重要な方

    営業職・接客業など、清潔感や第一印象を大事にしている方に

    金属アレルギーがある方

    金属アレルギーがある方

    メタルフリーの治療を希望、将来的なアレルギーリスクを避けたい方に

    長期的な耐久性を重視する方

    長期的な耐久性を重視する方

    再治療のリスクを減らしたい、変色しにくい素材を選びたい方に

    セラミックと保険のプラスチック、どう違う?

    歯科治療で使われる白い補綴物には、セラミック(陶器)とプラスチック(レジン)があります。それぞれの特徴を比較してみましょう。

    項目 セラミック プラスチック(保険)
    強度 ◎ △
    審美性 ◎(天然歯に近い) △(単色)
    清掃性 ◎(汚れがつきにくい) △(経年劣化・着色)
    精度 ◎(精密印象・技工士調整) △(機械削り出し)
    耐久性 ◎(10年残存率91% ※1) △(概ね4~5年 ※2)
    適用範囲 全歯(例外あり) 適用制限あり
    金属アレルギー ◎(有効) ◎(有効)

    CAD/CAM冠は保険適用でコストを抑えられますが、経年劣化や着色が起こりやすく、4~5年程度での再治療が必要になることもあります(※2)。

    一方、セラミックは自由診療で初期費用は高くなりますが、一部の報告では、10年後の残存率が約91%とされるものもあります(※1)。
    ただし、個々の症例や口腔内環境によって大きく異なります。

    初期費用は高くても、長期的な美しさと健康を考えれば、セラミックは「価値ある投資」となり得ます。

    短期的な見た目ではなく、「長く保てる美しさ」を追求

    歯肉の美しさも含めた総合審美治療

    白い補綴物は、単に「見た目を整える」ためのものではありません。私たちは、患者様が真に望まれるのは「長く保てる美しさ」であると考えます。

    また、口元の美しさには歯だけでなく「歯肉」の健康も大切な要素です。

    歯肉の美しさも含めた総合審美治療

    歯肉が失われる原因

    過度なブラッシング

    歯周病

    噛み合わせの問題

    歯と歯肉の審美性の両方を追求したい方には、必要に応じて歯肉移植術にも対応しております。目先の仕上がりだけにとらわれることなく、長期的な経過も考慮した治療計画をご提案いたします。

    充実の設備で、精密で安全な治療を

    当院では、精度が高い診断と精密な治療に役立てています。

    歯科用ルーペ・マイクロスコープ

    歯科用ルーペ・マイクロスコープ

    最大30倍の拡大視野で、肉眼では見えない細部まで確認。精密な治療に役立てています。

    デジタル口腔内スキャナー

    デジタル口腔内スキャナー

    不快な型取りが不要に。精密なデジタルデータを短時間で取得できます。

    高性能X線機器

    高性能X線機器

    最小限の被曝で、詳細な画像診断が可能です。

    滅菌・消毒設備

    滅菌・消毒設備

    大学病院と同等とされる滅菌システムを導入。院内感染対策に努めています。

    治療の流れ(4ステップ)

    STEP1:初診相談・検査

    初診相談・検査

    まずは患者さんのお悩みやご要望をじっくりとお伺いします。お口の中の診査、X線撮影、噛み合わせチェック、金属アレルギーの有無確認を行います。

    「金属の詰め物を白くしたい」「前歯の見た目をもっと自然にしたい」など、どんなことでもお気軽にご相談ください。

    STEP2:治療計画の立案

    検査結果をもとに、最適な治療計画を立案します。検査結果の説明、最適な素材・治療法のご提案、費用・期間の詳細説明を行います。

    保険診療・自由診療を含めた選択肢を丁寧にご説明し、メリット・デメリットも正直にお伝えします。納得いただいた上で治療を開始します。

    治療計画の立案

    STEP3:セラミック製作・装着

    セラミック製作・装着

    精密な型取りを行い、熟練の技工士が丁寧に製作します。2〜3週間で完成し、装着時には噛み合わせの最終調整、違和感・痛みのチェック、ケア方法の説明を行います。

    装着後に違和感や痛みを感じる場合は、その場で微調整を行い、患者さんのお口に最適な状態を目指します。

    STEP4:アフターケア・定期検診

    セラミック治療後は、定期的な検診とクリーニングを受けていただくことで、長期的に快適な状態を維持できます。

    セラミックの状態チェック、噛み合わせの確認、プロフェッショナルクリーニング、ホームケアのアドバイスを行います。

    アフターケア・定期検診

    〈保証適用の条件〉

    定期検診を受けていただくことが、保証制度の適用条件です。

    セラミック治療の費用と保証制度

    詰め物(インレー)

    名称 特徴 税込価格
    ジルコニアインレー 強度がとても強いです。歯ぎしり、食いしばりのある方におすすめです。吸水性がないため変色しません。 ¥55,000
    (税込)
    E-MAXインレー 色調再現に優れています。吸水性がないため変色しません。 ¥47,000
    (税込)
    セレックインレー(院内製法) 強度はE-MAXインレーに劣ります。吸水性がないため変色しません。 ¥40,000
    (税込)
    ゴールドインレー(小臼歯) ゴールドの詰め物です。柔らかい素材なので詰め物と歯の隙間なく装着できます。 ¥60,000
    (税込)
    ゴールドインレー(大臼歯・咬合面のみ) ゴールドの詰め物です。柔らかい素材なので詰め物と歯の隙間なく装着できます。 ¥60,000
    (税込)
    ゴールドインレー(大臼歯・隣接面含む) ゴールドの詰め物です。柔らかい素材なので詰め物と歯の隙間なく装着できます。 ¥80,000
    (税込)

    被せ物(クラウン)

    名称 特徴 税込価格
    ジルコニアボンド ジルコニアフレームにセラミックを何層にも塗り重ね焼き付けて作製します。強度も強く審美性にとても優れているので前歯や奥歯すべての部位におすすめです。プラークがつきにくく吸水性がないため変色しません。 ¥125,000
    (税込)
    オールジルコニア ジルコニア素材のみで作製します。厳密にはセラミックではありませんが耐久性、柔軟性、生体親和性に優れていて変色しません。やや透明感にかけるので奥歯に適しています。 ¥78,000
    (税込)
    カラーレスメタルボンド メタルフレームにセラミックを焼き付けて作製します。強度もあり色調再現に優れていますが金属の使用があります。プラークがつきにくく吸水性がないため変色しません。 ¥105,000
    (税込)
    フルベイクメタルボンド メタルフレームにセラミックを焼き付けて作製します。カラーレスメタルボンドと同じ特性ですが違いは歯肉ラインの審美的要素の違いです。 ¥85,000
    (税込)
    E-MAXクラウン E-MAXというセラミック単体で作製します。透明感がありますが強度はジルコニアボンドよりも劣るので治療する部位によって使用制限があります。プラークがつきにくく吸水性がないため変色しません。 ¥95,000
    (税込)
    外白FMC メタルフレームにレジンを焼き付けて作製します。吸水性があるので変色します。 ¥45,000
    (税込)
    ゴールドクラウン ゴールドの被せ物です。生体親和性に優れていて柔らかい素材なので被せ物と歯の隙間なく装着できます。適合精度が良いです。 ¥140,000
    (税込)

    保証制度

    当院では、定期検診を継続していただくことを条件に、セラミック治療に保証をお付けしています。万が一、装着したセラミックに不具合が生じた場合でも、保証制度を活用して再治療のサポートを受けることができます。

    〈保証の適用条件〉

    保証期間は詰め物・被せ物を合着した日付からです。

    定期検診(最低でも1年に1回)されていない方は割引金額が半分になります。

    保証を使用した場合、2回目からは保証期間が半分に短縮されます。

    税率の改正・材料の高騰の場合は値段が変更になる可能性があります。

    詰め物(インレー)の保証割引一覧

    期間 ジルコニアインレー
    (¥55,000)
    E-MAXインレー
    (¥47,000)
    セレックインレー
    (¥40,000)
    〜1年 ¥55,000 ¥47,000 ¥40,000
    〜2年 ¥55,000 ¥47,000 ¥40,000
    〜3年 ¥55,000 ¥23,500 ¥20,000
    〜4年 ¥27,500 ¥23,500 ¥20,000
    〜5年 ¥27,500 ¥23,500 ¥20,000
    〜6年 ¥27,500 ¥23,500 ¥20,000
    6年以降 ¥0 ¥0 ¥0
    期間 ゴールドインレー
    小臼歯(¥60,000)
    ゴールドインレー
    大臼歯・咬合面のみ
    (¥60,000)
    ゴールドインレー
    大臼歯・隣接面含む
    (¥80,000)
    〜1年 ¥60,000 ¥60,000 ¥80,000
    〜2年 ¥60,000 ¥60,000 ¥80,000
    〜3年 ¥30,000 ¥30,000 ¥40,000
    〜4年 ¥30,000 ¥30,000 ¥40,000
    〜5年 ¥30,000 ¥30,000 ¥40,000
    〜6年 ¥30,000 ¥30,000 ¥40,000
    6年以降 ¥0 ¥0 ¥0

    被せ物(クラウン)の保証割引一覧

    期間 ジルコニアボンド
    (¥125,000)
    オールジルコニア
    (¥78,000)
    カラーレス
    メタルボンド
    (¥105,000)
    フルベイク
    メタルボンド
    (¥85,000)
    〜1年 ¥125,000 ¥78,000 ¥105,000 ¥85,000
    〜2年 ¥125,000 ¥78,000 ¥105,000 ¥85,000
    〜3年 ¥125,000 ¥54,600 ¥73,500 ¥59,500
    〜4年 ¥100,000 ¥46,800 ¥63,000 ¥51,000
    〜5年 ¥87,500 ¥39,000 ¥52,500 ¥42,500
    〜6年 ¥75,000 ¥31,200 ¥42,000 ¥34,000
    〜7年 ¥62,500 ¥23,400 ¥31,500 ¥25,500
    〜8年 ¥50,000 ¥15,600 ¥21,000 ¥17,000
    〜9年 ¥37,500 ¥7,800 ¥10,500 ¥8,500
    9年以降 ¥12,500 ¥7,800 ¥10,500 ¥8,500
    期間 ゴールドクラウン
    (¥140,000)
    E-MAXクラウン
    (¥95,000)
    〜1年 ¥140,000 ¥95,000
    〜2年 ¥140,000 ¥95,000
    〜3年 ¥98,000 ¥66,500
    〜4年 ¥84,000 ¥57,000
    〜5年 ¥70,000 ¥47,500
    〜6年 ¥56,000 ¥38,000
    〜7年 ¥42,000 ¥28,500
    〜8年 ¥28,000 ¥19,000
    〜9年 ¥14,000 ¥9,500
    9年以降 ¥14,000 ¥9,500

    デンタルローンのご案内

    セラミック治療は保険適用外の自由診療となるため、費用が高額になることもあります。当院では、分割払いでのお支払いに対応しています。

    お支払い例

    ジルコニアインレー1本(税込55,000円)→ 12回払い:月々約4,600円

    ジルコニアボンド1本(税込125,000円)→ 18回払い:月々約6,900円

    月々の負担を抑えながら、高品質なセラミック治療を受けていただけます。

    一人ひとりに真摯に向き合う。それが私たちの診療スタイルです

    理事長

    当院では、詰め物や被せ物の治療が必要な際に「補綴カウンセリング」を行っています。

    保険診療・自由診療を含めた選択肢を丁寧にご説明し、メリット・デメリットも正直にお伝えした上で、患者様自身に最適な治療を選んでいただくことを大切にしています。

    私たちは効率優先の診療は行いません。一人ひとりに真摯に向き合い、満足いただける治療を目指しています。気になることは何度でもご相談ください。

    ケンデンタルクリニック 理事長 高木 健一

    セラミック治療でお悩みの方は、まずはご相談ください

    銀歯を白くしたい、歯茎の黒ずみが気になる、金属アレルギーが心配…そんなお悩みをお持ちの方は、ぜひ一度当院にご相談ください。

    当院では、無理な勧誘は一切いたしません。あなたのペースで、じっくりとお考えいただけます。

    「セラミック治療が自分に合っているのか分からない」「まずは話だけ聞いてみたい」そんな方も大歓迎です。ご納得いただけるまで、何度でも丁寧にご説明いたします。

    ドクターからのメッセージ

    あなたの笑顔と、大切な歯を守るために。私たちが、温かくサポートいたします。

    \24時間WEB予約受付中/
    まずはお気軽にご相談ください
    TOP治療一覧セラミック治療
    医療法人社団 健誠会 ケンデンタルクリニック
    虫歯、歯周病、小児歯科などの 保険診療のご予約はこちらから
    インプラント、矯正、セラミックなどの 自由診療のご予約はこちらから
    • TOP
    • 私たちについて
    •                  ドクター紹介
    •                  100人100ストーリー
    • クリニック一覧
    • 治療一覧
    • お知らせ・お役立ち情報
    • よくあるご質問
    • お問い合わせ
    • 採用情報
    • プライバシーポリシー

    Copyright(C)Ken Dental Clinic.All Rights Reserved.