TREATMENT 審美セラミック治療
目次
- 「短期集中治療」に対応
- 「セラミック矯正」に対応
- 理想形になるまで「何度でも調整」
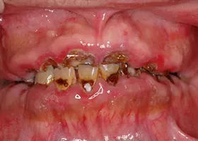
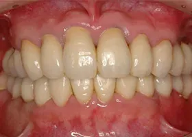
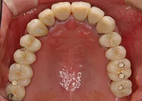
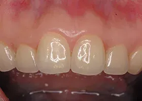
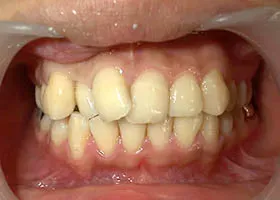
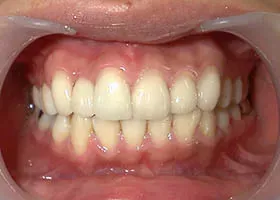
10年間で、セラミック「2万本」の実績。~あなたらしい「美」をプロデュース~












※上記症例はセラミック素材を利用し、歯の色・形を整えた症例になります。
【コラム】2~3回の来院で、歯並びを整える「セラミック矯正」




歯並びを改善するというと、歯列矯正治療を想像される方が大半ではないでしょうか。しかし、それ以外の手法として、「セラミック矯正」というものがあります。セラミック矯正は、歯列矯正に比べて以下のようなメリットがあります。
- 治療期間が短くて済む
- 抜歯せずとも矯正できるケースが多い
- 矯正器具の装着は不要
- 費用も安く抑えやすい
- 歯の色や形も調整可能
興味のある方は、ぜひ当院まで一度ご連絡ください。

美しい歯の創造、「自信」があります!
口元の美しさを追求するため、そして患者さんの負担を軽減するため、当院では様々な取り組みを実施しています。それぞれご紹介します。
最短1日で白い歯を手に入れる「3Dセレックシステム」

セレックシステムとは、セラミック素材の「詰め物・被せ物」をその日のうちに作製できるシステムです。
メリットとして、以下の4つの特徴があげられます。
特徴1:『施術当日』に白い歯が入ります※当日対応できないケースもあり

一般的な治療法では、セラミックの被せ物を作るために、複数回来院していただく必要があります。
セレックシステムであれば、当日のうちに被せ物の作製が可能ですので、来院回数を大幅に減らすことができます。

特徴2:白さが「半永久的」に持続
セレックシステムで得られる白さはセラミック由来のものです。
セラミックは色素沈着を起こしにくい素材ですので、白さが損なわれにくいというメリットがあります。

特徴3:「虫歯リスク」を大幅抑制
通常、セラミックがお口にセットされるまでは「仮のふた」をした状態で一定期間過ごしていただきます。あくまで「仮のふた」ですので、精度がそれほど高くなく、かつ、ふたに汚れや細菌がたまりやすくなります。そのため、セラミックをお口にセットする際に、その汚れをしっかり除去せずにセットしてしまった場合、歯の内部で細菌が増殖し虫歯になってしまうリスクがあります。
しかしセレックシステムでは、すぐにセラミックをセットできるため、そのようなリスクを軽減することができます。

特徴4:「型取りの負担」がなくなる

一般的な被せ物では、歯型を採取する苦痛が伴いました。
セレックシステムでは、専用の3D光学カメラを使用して治療部位を撮影するだけで、必要な型取り作業が終了します。
この撮影自体は数秒で完了しますので、患者さんへの負担は大幅に軽いものとなります。

各工程で「完成形のイメージ」をすり合わせ
当院では、歯科医と患者さんの治療後イメージを一致させるために、すり合わせポイントを複数設けています。
治療方針策定時にご意見をうかがうのはもちろんのこと、セットアップ模型を用いたイメージのお伝え、仮歯によるイメージすり合わせ、最終段階における色や形の確認など、都度お話しをさせていただきます。
これにより、患者さんのイメージ通りの治療が可能になります。

患者さんの理想を再現するためには、こうした取り組みは欠かせません。
疑問に思うことや不満に感じた点などがあれば、何でもお伝えください。
「治療前」のカウンセリング

治療前、方針策定時に時間をいただいて、患者さんとお話しをします。
お互いのイメージが合致するまでは治療に移りません。
模型や、症例をお見せしながら漠然としたイメージを具体的にしていきます。
また、シミュレーションソフトを活用して、より分かりやすいイメージ共有も行っています。お口の状態をスキャンし、歯の色、形を患者さんとともに決めていきます。


「セットアップ模型」によるイメージのすり合わせ

実際に患者さんの歯型から被せ物の模型を作製し、どのような形状の歯にするかをお打ち合わせします。
「仮歯」によるイメージのすり合わせ

特に高い審美性が要求される前歯の治療などでは、仮歯でイメージをすり合わせていく場合もあります。患者さんのお口の模型をベースに、ワックスで作った完成形イメージの仮歯を作製し、装着してもらってご意見を伺います。
「技工士」による最終チェック

ここまでの工程で得られた歯の色・形のイメージが共有出来たら、歯科技工士と連携して被せ物を作製していきます。
歯科用ルーペの活用/精密な治療のために

当院では肉眼の何倍にも拡大して物体を観察できる「高倍率ルーペ」を治療に利用しています。
歯の治療では、髪の毛1本よりも細かい部分を見て実施する必要があります。これは、視力に自信のある人であっても肉眼で確認するのは不可能です。
そこで利用するのが、高倍率ルーペということになります。
左の画像は裸眼で治療個所を見たとき、右の画像は同じ治療部位を高倍率ルーペで観察したときのものです。

肉眼では患部がどうなっているのかよく分からないかもしれませんが、ルーペを利用することでしっかり把握できるようになります。
「歯肉」の美しさも創造します
過度なブラッシングや歯周病などにより、歯肉の退縮や変色が生じます。
せっかく歯を綺麗にしても、歯肉の美しさが伴わなければ口元の美は達成されません。
そこで当院では「歯肉移植術」を行い、歯肉を含めた口元の美も追求しています。
これはどの医院でも行っているものではありませんので、総合的な美を追求したい方は、一度お問い合わせください。

Step1 歯肉の採取
上あごの奥歯の内側から移植する歯肉を採取します。

Step2 歯肉の移植
移植する箇所の歯茎を切り開き、その中に採取した歯肉を入れます。

Step3 歯茎の縫合
歯肉を採取するために切開した歯茎は2週間程度でもとどおりになります。移植された歯茎はおよそ1ヶ月程度で傷跡がなくなり、周囲の歯茎と区別がつかない自然な状態になります。
審美的な治療が「お口の健康を害する」こともあります

審美セラミック治療では美しさばかりに目が取られていますが、治療方法が適切でない場合、お口の健康を損なうこともあります。
その結果、せっかく手に入れた美しさも短期的に失われてしまうかもしれません。
注目したいことは、使用する治療材と、事前の虫歯治療です。
「身体に優しい素材」の厳選
詰め物・被せ物の材料には、様々な種類があります。
それぞれの素材には特徴がありますが、当院では身体に優しい素材を厳選してご提案しています。
ジルコニア

ジルコニアは、セラミックの中でも優れた審美性と耐久性を誇っています。陶器製の身体に優しい素材であり、銀歯のように金属イオンが流出することもありません。耐久性が高いため、食いしばりの強い方にもおすすめできる素材です。
オールセラミック

ジルコニアと比べ若干耐久性は劣りますが、天然歯のような風合いと強度を持つ素材です。こちらも金属を使用していないため、金属アレルギーなど、体に対する悪影響が少なく済みます。
「初期治療」の徹底

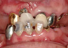
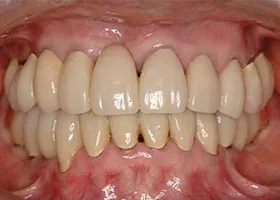
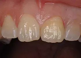
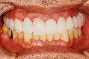
次の歯の画像をご覧ください。
これは、他院でセラミック治療をしたケースになりますが、初期治療をおろそかにしたため、もともと存在していた歯周病が悪化し、歯と歯肉の隙間が生じてしまい審美性が損なわれてしまった症例です。
「歯をすぐに美しくしたい!」
患者さんのこの気持ちは痛いほどわかります。
しかし、治療を急ぐがあまり、初期治療をおろそかにし、短期的な美しさは獲得できても、中長期的な美しさの維持はできないことがあります。
当院はそのようなことはしたくありません。
そのため、本来しっかり行うべき部分を省略するようなことは行っていません。
しかし、1回の治療時間を長く確保することで、治療期間を短縮させることはできます。

担当医からのメッセージ 理想の歯を追求するお手伝いをします
「美」には「主観的な美」と「客観的な美」の2つがあります。
客観的な美、つまり、誰が見ても美しいと思える美に関しては、私たちが「美の基準」に沿って作り上げます。しかし、主観的な美、つまり患者さんが理想とする美は、患者さんにお伺いしなければ分かりません。
そのため、患者さんの「こうしたい」を私たちにお伝えください。
写真でもいいですし、イメージでもいいです。
すべては患者さんの「こうしたい」から始まります。
理想に向かって、共に歩んでいきます。

reservation あなたにあった
最良の歯科治療を
当院では、患者さんが抱えていらっしゃるお口のお悩みや疑問・不安などにお応えする機会を設けております。どんなことでも構いませんので、私達にお話ししていただけたらと思います。ご興味がある方は右記からお問い合わせください。



