• 来院予約はこちら
  • 健誠会について
医療法人社団 健誠会 ケンデンタルクリニック 医療法人社団 健誠会 ケンデンタルクリニック
  • 健誠会について
  • 来院予約は
    こちら
簡単1分|24時間受付 診療予約はこちらから
お気軽にご相談ください ご相談・お問い合わせはこちらから
  • TOP
  • 私たちについて
  •                  歯科医師紹介
  •                  100人100ストーリー
  • クリニック一覧
  • 治療一覧
  • お知らせ
  • よくあるご質問
  • お問い合わせ
簡単1分|24時間受付 診療予約はこちらから
お気軽にご相談ください ご相談・お問い合わせはこちらから
  • 医療法人社団 健誠会公式サイト
  • 採用情報
  • プライバシーポリシー

Copyright(C)Ken Dental Clinic.All Rights Reserved.

目次アイコン目次

    オールオン4・6とは

    オールオン4とは

    オールオン4・6は、4〜6本のインプラントで片顎すべての歯を支える効果的な治療法です。

    従来のインプラント治療では、失った歯の本数分だけインプラントを埋入する必要がありました。しかしオールオン4・6なら、通常8〜10本必要なインプラントが4〜6本で済むため、身体的にも経済的にも負担を大幅に軽減できます。

    さらに大きな特長は、手術当日に抜歯・インプラント埋入・仮歯装着まで行えること。長年総入れ歯を使用しているけど美味しく食べられない方、歯周病やむし歯でほとんどの歯を抜かなくてはいけないと診断された方にとって、1日で見た目の改善が期待できるオールオン4・6は、お口の状態や見た目に悩まれている方にとって、有力な選択肢の一つとなりえます。
    ※治療結果には個人差があります。

    オールオン4・6はこんな方におすすめです

    オールオン4・6は以下のような患者様に適しています。

    こんなお悩みはありませんか?

    総入れ歯を使用しているが、安定せずよく噛めない

    他院で多くの歯を抜かなくてはいけないと言われた

    部分入れ歯を使用しているが、残っている自分の歯が少なくよく噛めない

    むし歯が全体に進行しており、ボロボロの状態

    歯周病が全体に進行しており、グラグラの状態

    歯がない部分にインプラントを入れると4本以上のインプラントが必要になってしまう

    残っている歯が少ない

    残っている歯が少ない方

    多くの歯を失い、残っている歯も少ない状態では、部分入れ歯やブリッジでは十分な噛み合わせを得ることが難しくなります。残りの歯に負担がかかり、さらに歯を失ってしまうリスクも高まります。

    オールオン4・6なら、少ない本数のインプラントで全体の歯を支えることができるため、残っている歯への負担を軽減しながら、しっかりとした噛み合わせを取り戻すことができます。

    歯周病で歯全体がグラグラしている

    重度の歯周病で歯全体がグラグラしている場合、従来は抜歯後に骨が回復するのを待ってからインプラント治療を始める必要がありました。そのため、治療完了まで長い期間がかかってしまうことが課題でした。

    オールオン4・6なら、抜歯と同時にインプラントを埋入し、その日のうちに仮歯を装着することができます。治療期間を大幅に短縮できるだけでなく、「歯がない期間」を最小限に抑えることができます。

    歯周病で歯全体がグラグラしている方

    入れ歯をしているのが苦痛

    入れ歯をしているのが苦痛な方

    入れ歯の違和感や痛み、外れやすさに悩まれている方は少なくありません。食事中にずれたり、話すときに気になったり、日常生活の中でストレスを感じている方も多いのではないでしょうか。

    オールオン4・6は固定式なので、取り外しの必要がありません。多くの場合、従来の入れ歯と比べて安定した噛み心地が期待でき、食事や会話がしやすくなったと感じる方もいらっしゃいます。また、入れ歯特有の違和感や痛みが軽減されることもあります。
    ※痛みの感じ方には個人差があります。

    見た目を劇的に改善したい

    「人前で笑うのが恥ずかしい」「口元が気になって自信が持てない」——そんなお悩みをお持ちの方にも、オールオン4・6はおすすめです。

    手術当日に仮歯が入るため、見た目の変化をすぐに実感される方もいらっしゃいます。周囲の方から「雰囲気が変わった」「若々しく見えるようになった」と言われたという声をいただくこともあります。見た目の変化は、心の変化にもつながります。
    ※見た目の変化の程度には個人差があります。

    見た目を劇的に改善したい方

    持病をお持ちの方へ

    インプラント治療は、糖尿病や心臓病などの持病があると手術ができない場合があります。しかし、持病があるからといって、すべての方が治療を受けられないわけではありません。

    当院では、必要に応じて内科医などの医師と連携し、全身状態を確認したうえで手術の可否を慎重に判断します。まずは現在のご病気やお薬についてお聞かせいただき、治療の可否や注意点をご説明いたします。

    健誠会の治療チームが、あなたの笑顔を叶えます

    オールオン4・6は、インプラント治療の中でも特に高度な技術と豊富な経験を要する治療です。手術の難易度が高く、担当医の技術力が治療結果に大きく影響します。

    当院では、インプラント治療に精通した歯科医師と関連分野の専門家がチームを組んで、治療にあたります。

    インプラント手術担当

    インプラント専門医・認定医

    丸尾勝一郎

    日本口腔インプラント学会
    口腔インプラント専門医

    丸尾 勝一郎

    日本口腔インプラント学会 口腔インプラント専門医 / 日本補綴歯科学会 専門医 / ITIフェロー 他

    ※恵比寿マルオ歯科院長兼任のため、ご希望の院にいないこともあります。ご予約の際にご確認ください。

    日本口腔インプラント学会 口腔インプラント専門医 / 日本補綴歯科学会 専門医 / ITIフェロー 他

    ※恵比寿マルオ歯科院長兼任のため、ご希望の院にいないこともあります。ご予約の際にご確認ください。

    篠原俊介

    インプラント認定医

    篠原 俊介

    ハーバード大学インプラント科 認定医 / 日本顎咬合学会 認定指導医 / 厚生労働省歯科医師 臨床研修指導医

    ハーバード大学インプラント科 認定医 / 日本顎咬合学会 認定指導医 / 厚生労働省歯科医師 臨床研修指導医

    原田正守

    インプラント認定医

    原田 正守

    日本顎関節学会専門医 / 国際口腔インプラント学会認定医 / ノーベルバイオケア講師 他

    日本顎関節学会専門医 / 国際口腔インプラント学会認定医 / ノーベルバイオケア講師 他

    歯科麻酔担当

    歯科麻酔担当

    オールオン4・6の手術は、静脈内鎮静法に対応した麻酔科医が担当します。点滴から鎮静剤を投与することで、眠ったようなリラックスした状態で治療を受けることができます。

    鎮静剤により、手術中の感覚が軽減されることが期待されます。手術に対する恐怖心や不安を軽減したい方にもご利用いただけます。

    チーム医療で支える安心の体制

    当院では、インプラント専門医、口腔外科医、麻酔科医、歯科技工士、歯科衛生士がチームを組んで治療を行います。

    治療前には、全身の状態や噛み合わせ、見た目のご要望などを総合的に検討し、患者さま一人ひとりに最適な治療計画を立案します。複数の専門家が治療計画を確認する体制を整え、患者さま一人ひとりに適した治療を心がけています。

    チーム医療で支える安心の体制

    オールオン4・6のメリット

    オールオン4・6には、従来のインプラント治療や入れ歯と比べて、異なる特徴やメリットがいくつかあります。ここでは、オールオン4・6を選ぶことで期待できる主なメリットをご紹介します。

    外見の改善

    外見の改善

    手術当日に仮歯を装着できるため、1日で大幅に見た目を改善することが可能です。

    短期間で治療が完了

    短期間で治療が完了

    一般的に、オールオン4・6では手術当日に仮歯を装着し、その後約3~4ヶ月で最終的な歯を装着することを目標とします。

    ダウンタイムが短い

    ダウンタイムが短い

    骨移植を行わない場合は、一般的に手術後の腫れや痛みが比較的少なく、3~7日程度で回復します。

    長持ちする治療

    長持ちする治療

    10年以上の残存率90%。適切なメンテナンスで長く使い続けることができます。

    外見の改善

    オールオン4・6の最大の特長は、「抜歯即時埋入・即時荷重」が可能なことです。これは、歯を抜く日にインプラントの埋入手術を行い、その日のうちに固定性の仮歯を装着する方法です。

    従来の治療法では、抜歯後に骨が回復するのを待ってからインプラントを埋入し、さらに骨との結合を待ってから歯を入れるため、治療完了まで長い期間がかかりました。しかしオールオン4・6なら、1日で大幅に見た目を改善することが可能です。

    短期間で治療が完了

    オールオン4・6は手術当日に仮歯を装着し、約3ヶ月後には最終的な歯を作ります。そのため、約4ヶ月という短期間で治療が完了します。

    従来のインプラント治療では、骨造成が必要な場合は1年以上かかることも珍しくありませんでした。オールオン4・6なら、治療期間を大幅に短縮できるため、患者さんの負担も軽減されます。

    骨移植が不要なためダウンタイムが短い

    オールオン4・6は、原則として骨移植を必要としない治療法です。インプラントを斜めに埋入することで、骨が少ない部分を避けながら治療を行うことができます。

    骨移植を行わないため、手術後の腫れや痛みが少ないことが特徴です。個人差はありますが、3〜7日程度で腫れや痛みは引いてきます。ただし、人によっては口の周りに内出血ができることもありますので、術後1〜2週間程度は大きな予定は入れないようにしてください。

    長持ちする治療

    オールオン4・6は、国内外で多くの臨床研究が報告されている治療法です。世界中で多くの臨床データが蓄積されており、長期的な安定性が証明されています。

    論文によって数値は異なりますが、適切な診断・設計・メンテナンスが行われた場合、10年以上のインプラント残存率が概ね90%前後と報告されている研究もあります。全顎的な歯周病やむし歯などで治療がなかなか終わらない患者さんにとっても、長期的な解決策になりうる治療法です。

    オールオン4・6とその他の治療との比較

    歯をすべて失った場合の治療法は、大きく分けて3つあります。それぞれの特徴を比較して、ご自身に合った治療法を選ぶ参考にしてください。

    入れ歯やブリッジとの比較

    オールオン4・6 インプラントオーバーデンチャー 総入れ歯
    費用 保険適用外 保険適用外 保険適用
    治療期間 約3〜6ヶ月 約2〜3ヶ月 約2ヶ月
    手術 必要 必要 不要
    異物感 ない ある ある
    安定感 自分の歯と同じ 総入れ歯よりも安定 骨の状態によっては不安定
    オールオン4・6

    オールオン4・6

    インプラントを4〜6本埋入し、それを支えに12本の固定性の歯を装着する方法です。取り外しは必要ありません。歯ぐきでは負担しない構造のため、一般的に入れ歯と比べて痛みが出にくいとされています。

    インプラントオーバーデンチャー

    インプラントオーバーデンチャー

    2〜4本のインプラントを埋入し、入れ歯の裏側にアタッチメントをつけて義歯を安定させる方法です。取り外しが必要ですが、総入れ歯に比べて義歯を小さくできます。

    総入れ歯

    総入れ歯

    歯ぐきのみで入れ歯を支えます。手術が不要で保険適用のため費用を抑えられますが、顎の骨が痩せると入れ歯が安定しなかったり、痛みが出ることがあります。

    オールオン4・6治療が難しい方

    オールオン4・6は多くの方に適した治療法ですが、以下のような場合は治療が難しいことがあります。

    以下に該当する方は、事前にご相談ください

    顎の骨の「量」や「密度」が著しく低い状態の方

    重度の糖尿病、心臓病、骨粗しょう症などをお持ちの方

    ヘビースモーカーの方(治療前に禁煙をお願いする場合があります)

    定期的なメンテナンスに通うことが難しい方

    口腔衛生管理が難しい方

    治療が難しい場合でも、諦めないでください

    骨が少ない場合は骨造成などの追加処置を行うことで治療が可能になるケースもあります。また、持病をお持ちの方も、必要に応じて内科医などの医師と連携し、全身状態を確認したうえで手術の可否を慎重に判断いたしますので、お気軽にご相談ください。

    あなたの口もと、ここまで変わる「治療前」と「治療後」

    これまでに手がけてきた症例の一部をご紹介いたします。オールオン4・6治療によって、患者さんのお口元がどのように変化したかをご覧ください。

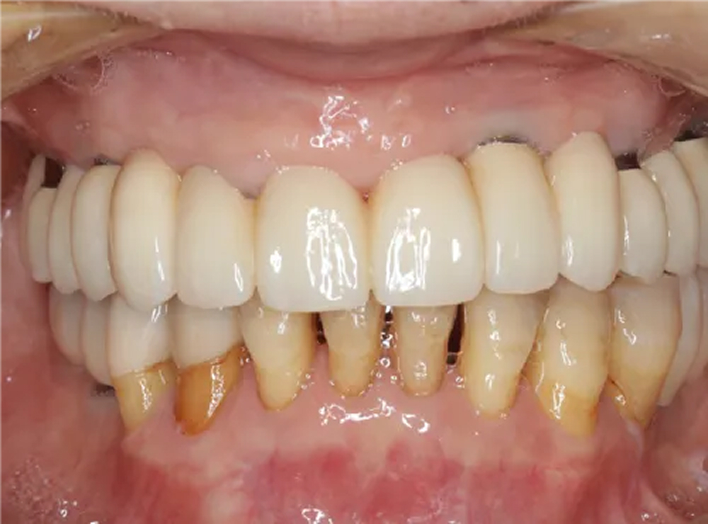
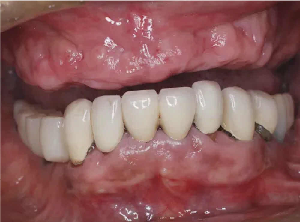
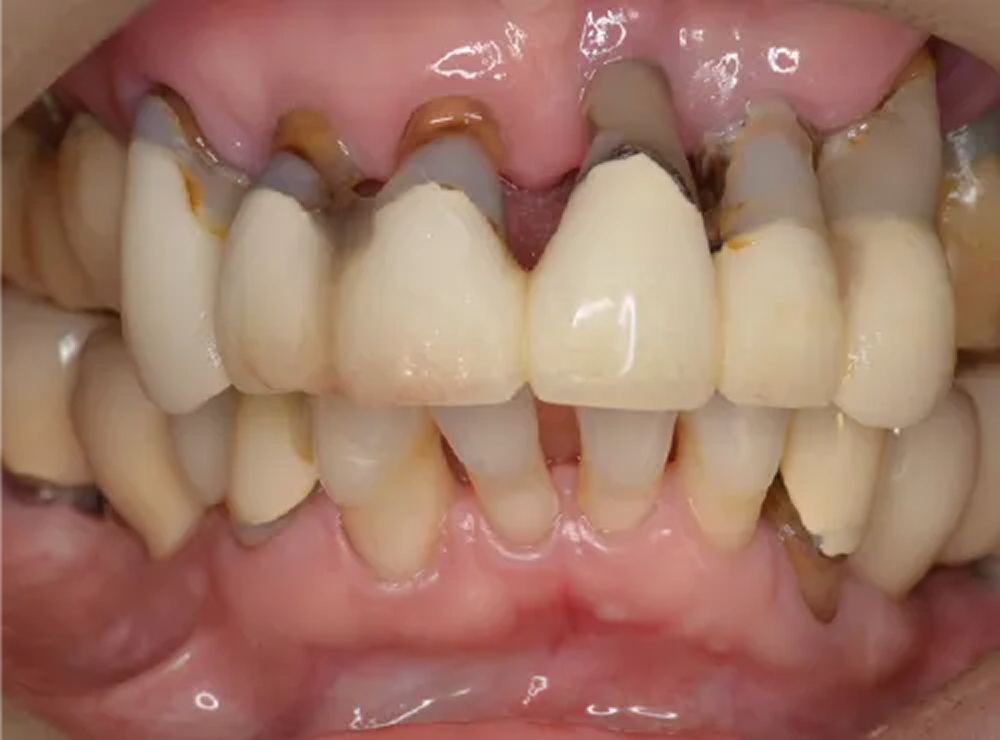
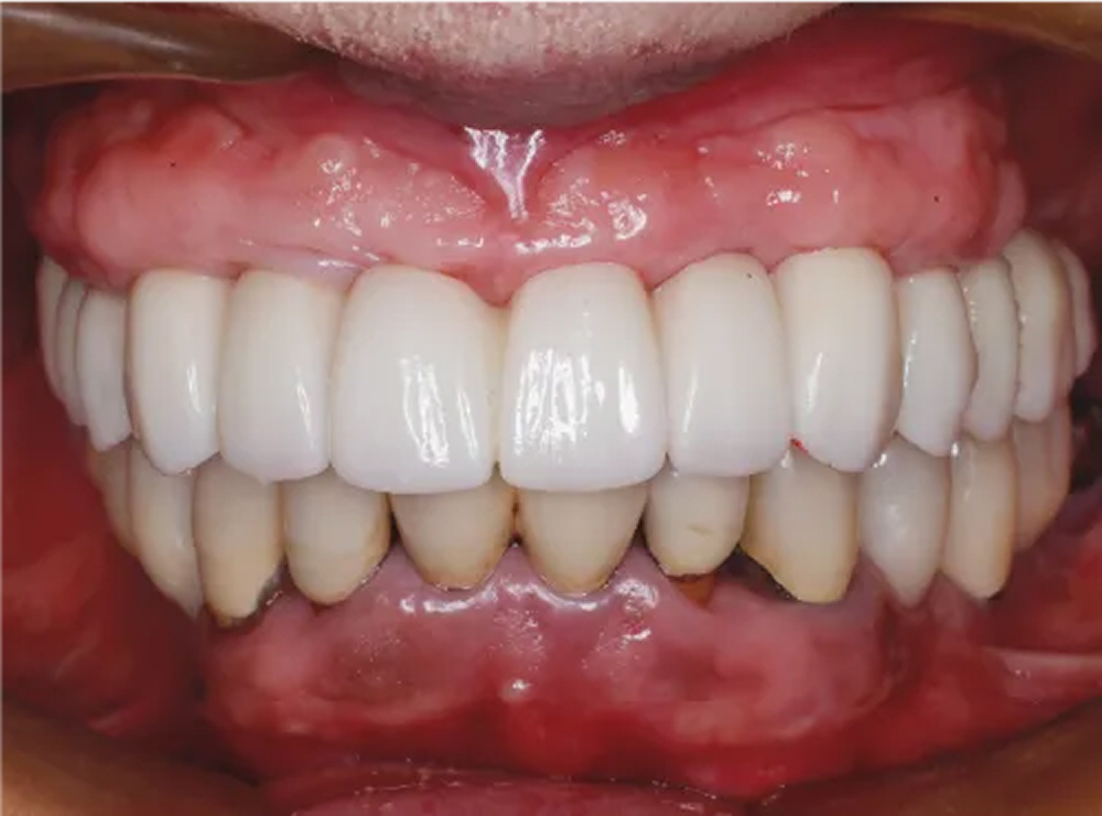
    Case 1:義歯装着患者に対する上顎のオールオン6

    症例1 治療前
    症例1 治療後

    ※上記画像は、オールオン6治療の症例になります。

    治療内容 義歯装着患者に対する上顎のオールオン6によるインプラント治療
    費用 3,200,000円(税込)※現在の当法人での提供価格
    治療期間 約6ヶ月
    リスク・副作用 オペ後の腫れ、内出血の症状が出る場合がある

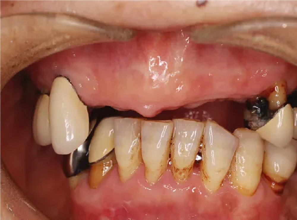
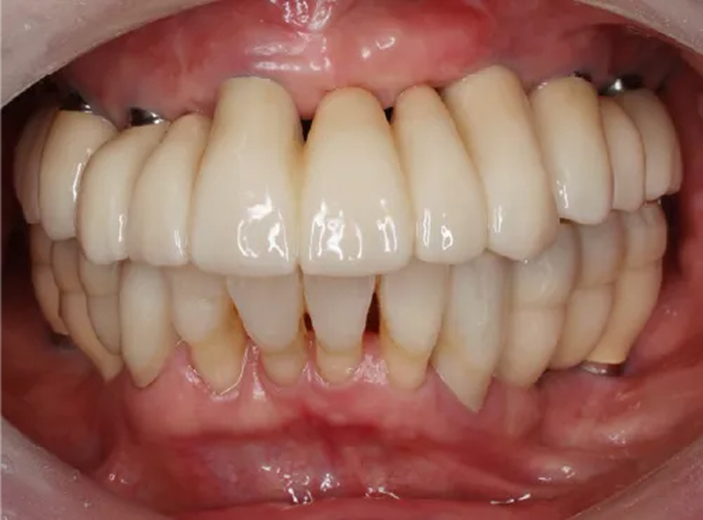
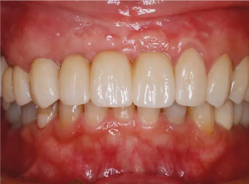
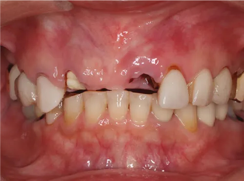
    Case 2:重度歯周病患者に対する上顎のオールオン6

    症例2 治療前
    症例2 治療後

    ※上記画像は、オールオン6治療の症例になります。

    治療内容 重度歯周病患者に対する上顎のオールオン6によるインプラント治療
    費用 3,200,000円(税込)※現在の当法人での提供価格
    治療期間 約6ヶ月
    リスク・副作用 オペ後の腫れ、内出血の症状が出る場合がある

    Case 3:上顎部分欠損に対するオールオン6

    症例3 治療前
    症例3 治療後

    ※上記画像は、オールオン6治療の症例になります。

    治療内容 上顎部分欠損に対するオールオン6によるインプラント治療
    費用 3,200,000円(税込)※現在の当法人での提供価格
    治療期間 約6ヶ月
    リスク・副作用 オペ後の腫れ、内出血の症状が出る場合がある

    Case 4:上顎部分欠損に対するオールオン6

    症例4 治療前
    症例4 治療後

    ※上記画像は、オールオン6治療の症例になります。

    治療内容 上顎部分欠損に対するオールオン6によるインプラント治療
    費用 3,200,000円(税込)※現在の当法人での提供価格
    治療期間 約8ヶ月
    リスク・副作用 オペ後の腫れ、内出血の症状が出る場合がある

    治療の流れ

    オールオン4・6の治療は、以下のステップで進めていきます。

    ①初診相談・精密検査

    初診相談・精密検査

    まずはお口の状態を詳しく調べます。視診・触診に加えて、CTによる3次元画像診断を実施し、骨の量や質、神経・血管の位置などを詳細に把握します。これらの検査結果をもとに、オールオン4・6治療の可否を判断します。

    ②治療計画説明とインフォームドコンセント

    検査結果をもとに、複数の治療プランを作成します。それぞれのプランについて、費用・期間・リスクを比較してわかりやすくご説明します。患者さんに十分ご納得いただいた上で、治療方針と手術日程を決定します。

    治療計画説明

    ③手術当日のスケジュール(片方のみの場合)

    時間 内容
    10:00 来院
    10:10 お口の中のクリーニング
    10:30 麻酔(静脈内鎮静法 ※1)開始
    10:45 抜歯およびインプラント埋入手術 ※2
    12:00 即日義歯の調整、装着
    14:30 レントゲン、術後の注意事項説明
    15:00 お会計、ご帰宅

    ※1 オールオン4・6の手術は、静脈内鎮静麻酔に対応した麻酔科医が担当いたします。これは全身麻酔ではありませんが、鎮静剤を点滴で投与し、リラックスできる状態で治療を受けていただく方法です。鎮静法により、手術中の痛みや音、記憶に対する感覚が軽減されることが期待されます。手術に対する恐怖心や不安を軽減したい方にご利用いただけます。

    ※2 残存している歯がある場合は、インプラントの埋入に先立ち抜歯をおこないます。

    術後のフォローアップ

    オールオン4・6の手術後は、以下のような経過をたどります。術後の過ごし方についてご説明しますので、参考にしてください。

    腫れや痛みについて

    腫れや痛みについて

    術後の腫れや痛みは個人差がありますが、5〜7日間程度続くことがあります。痛み止めを処方いたしますので、指示に従って服用してください。

    内出血について

    内出血について

    人によっては内出血することがあり、口の周りに青あざができることがありますが、1週間前後で自然に消失します。

    食事について

    食事について

    手術当日に歯が入りますが、あくまで見た目のための仮歯です。術後2週間〜1ヶ月は、できるだけ柔らかい食べ物を召し上がってください。

    生活上の注意

    生活上の注意

    術後1週間は運動やお酒などは控えていただきます。旅行や人前で話す機会なども避けるようにしてください。

    治療期間

    オールオン4・6の治療期間は、患者さまの状態によって異なりますが、従来のインプラント治療では骨造成が必要な場合1年以上かかることも珍しくありませんでした。オールオン4・6なら、約4〜6ヶ月という比較的短い期間で治療を完了できます。

    段階 期間
    初診〜手術 約2〜4週間
    手術〜仮歯期間 約3ヶ月
    最終的な歯の装着 手術から約4ヶ月後
    総治療期間 約4〜6ヶ月

    ※骨造成が必要な場合は、さらに期間がかかることがあります。詳しくは精密検査後にご説明いたします。

    オールオン4・6治療のリスク

    オールオン4・6は非常に難易度の高い治療のため、以下のようなリスクも伴います

    オールオン4・6は効果的な治療法ですが、外科手術を伴うため、リスクがないわけではありません。治療を受ける前に、以下のリスクについてご理解いただく必要があります。

    上顎の場合

    上顎洞底挙上術を併用することがあり、動脈の損傷や洞底粘膜の損傷による上顎洞炎のリスクがあります。

    下顎の場合

    下歯槽神経を損傷するリスクがあり、口の周囲の感覚の鈍麻や痺れが残ることがあります。

     

    骨造成を行う場合

    上下顎とも骨造成を行う場合は、術後の感染のリスクがあります。当院では、クラスB滅菌器による徹底した滅菌管理と、適切な抗生剤の投与により、感染リスクを最小限に抑えています。

    その他のリスク

    手術エリアが比較的大きいため、術後に出血することがあります。また、手術時間が比較的長時間(2時間前後)となるため、重度の全身疾患を有する方は手術を受けられない可能性があります。

    当院では、精密なCT検査とシミュレーションにより、これらのリスクを最小限に抑えています。CT画像で神経の位置を正確に把握し、十分な安全域を確保して手術を行っています。

    よくあるご質問

    オールオン4・6治療についてよくいただくご質問にお答えします。

    オールオン4・6治療はどのくらい長持ちしますか?

    オールオン4・6治療によって装着されるインプラントは、適切なケアと定期的なメンテナンスを行うことで、多くの場合、生涯持続することが可能です。ただし、上部構造(歯の部分)の耐用年数は、使用する材料や患者様の口腔衛生状態によって異なりますが、通常は10年から15年程度とされています。また、当院では最長5年の保証制度を設けています。

    オールオン4・6治療は痛いですか?

    オールオン4・6治療は、静脈内鎮静麻酔の下で行われますので、手術中の痛みはほとんどありません。眠ったようなリラックスした状態で手術を受けられるため、音や記憶もほとんど残りません。手術後には、若干の腫れや不快感が生じる場合がありますが、これは通常、処方される鎮痛剤で管理することができます。
    ※痛みの感じ方には個人差があります。

    オールオン4・6治療は術後すぐに噛めるようになりますか?

    手術当日に装着する仮歯は、あくまで見た目を回復することが目的です。仮歯は固定されていますが、インプラントと骨がまだしっかり結合していない状態のため、強い力で噛むことはできません。しっかり噛めるようになるのは、インプラントと骨がしっかりと結合する2ヶ月後からとなります。それまでは、できるだけ柔らかいものを召し上がっていただくことを推奨しています。

    手術後は仕事ができますか?

    手術後5〜7日程度は腫れや痛み、人によっては内出血が口の周りに出ることがあります。見た目が気になる方もいらっしゃるかもしれません。マスクをしてデスクワークくらいであれば、翌日から可能です。ただし、人前で話す、旅行に行く、身体に負荷のある仕事をする、などはできれば2週間以降から再開するようにしてください。

    他院でインプラント治療を断られましたが、治療できますか?

    当院では難症例にも対応しております。骨が少ない方や、全身疾患をお持ちの方、他院で断られた方も、まずはご相談ください。精密検査を行った上で、治療可能かどうかを判断いたします。骨造成技術を持つ専門医が在籍しておりますので、他院で「骨が足りない」と断られた方でも治療できるケースは少なくありません。

    費用の分割払いは可能ですか?

    はい、デンタルローンをご利用いただけます。最大150回払いまで対応しておりますので、月々のご負担を抑えながら治療を受けていただけます。月々のお支払い金額など、詳しくはカウンセリング時にご相談ください。また、インプラント治療は医療費控除の対象となりますので、確定申告で税金の還付を受けることも可能です。

    メンテナンスはどのくらいの頻度で必要ですか?

    オールオン4・6治療後は、3〜6ヶ月に1回の定期メンテナンスをお勧めしています。メンテナンスでは、インプラントの状態チェック、クリーニング、噛み合わせの確認などを行います。適切なメンテナンスを継続することで、インプラントの長期的な安定が期待できます。また、当院の保証制度は定期メンテナンスを受診していただくことが条件となっています。

    数本の歯が残っていても治療を受けられますか?

    はい、歯が残っていても治療を受けることができます。オールオン4・6治療は、抜歯、インプラント埋入、仮歯装着を1日で行う治療です。残っている歯の状態を精密検査で確認し、抜歯が必要な歯は手術当日に抜歯を行います。その後、インプラントを埋入し、仮歯を装着します。

    オールオン4・6の費用と保証制度

    当院では、治療にかかる費用を明確にお伝えしています。オールオン4・6は高額な治療ですが、分割払いや保証制度をご用意し、患者さんの経済的なご負担を軽減しています。

    All-on-4 / All-on-6

    メニュー 税込価格
    All-on-4(4本埋入) ¥2,800,000
    All-on-6(6本埋入) ¥3,200,000

    ※OPE・ガイド代・上部構造・静脈内鎮静法の費用なども含む

    オプション

    項目 税込価格
    CT撮影・診察 ¥15,000
    サージカルガイド ¥45,000
    サイナスリフト ¥200,000〜¥250,000
    静脈内鎮静法 ¥150,000

    お支払い方法・デンタルローン

    お支払いは、現金・クレジットカード・デンタルローン(最大120回払い)に対応しております。デンタルローンと医療費控除を併用することで、実質的なご負担を軽減することも可能です。

    デンタルローンお支払い例

    治療内容 治療費総額 分割回数 月々のお支払い
    All-on-4 ¥2,800,000 120回 月々約¥29,000〜
    All-on-6 ¥3,200,000 120回 月々約¥33,000〜

    ※金利や手数料は金融機関によって異なります。詳しくはカウンセリング時にご説明いたします。

    保証制度

    当院では、定期メンテナンスを継続していただくことを条件に、インプラント体・上部構造それぞれに保証をお付けしています。

    保証期間中にインプラント体の脱落や上部構造の破損などが生じた場合は、無償または減額で再治療いたします。長く安心してインプラントをお使いいただくための制度です。

    保証制度

    保証内容

    対象 保証期間
    インプラント体 5年間
    上部構造(被せ物) 2年間
    ※3年目以降は一部負担金あり

    保証の適用条件

    定期的な検診、クリーニング(最低でも半年に1度)

    ナイトガードの装着

    歯磨き、生活習慣など、注意事項の遵守

    ※喫煙されている方は、インプラント体の保証割引率が半分となります。

    まずはお気軽にご相談ください。

    まずはご相談ください

    オールオン4・6は、たった4〜6本のインプラントで片顎すべての歯を支え、1日で見た目の改善が期待できる効果的な治療法です。

    総入れ歯の不便さから解放されたい方、歯周病やむし歯でお口全体がボロボロになってしまった方、「もう一度、自分の歯のようにしっかり噛みたい」という方に、オールオン4・6は新しい選択肢を提供します。

    当院では、ハーバード大学などで研鑽を積んだインプラント専門医を中心としたチームが、あなたの笑顔を取り戻すお手伝いをいたします。

    「自分に合った治療法がわからない」「費用や期間が心配」「他院で断られた経験がある」——どんなお悩みでも構いません。まずは無料カウンセリングで、お気軽にご相談ください。

    \24時間WEB予約受付中/
    まずはお気軽にご相談ください
    TOP治療一覧オールオン4・6(歯がボロボロ)治療
    医療法人社団 健誠会 ケンデンタルクリニック
    簡単1分|24時間受付 診療予約はこちらから
    お気軽にご相談ください ご相談・お問い合わせはこちらから
    • TOP
    • 私たちについて
    •                  歯科医師紹介
    •                  100人100ストーリー
    • クリニック一覧
    • 治療一覧
    • お知らせ
    • よくあるご質問
    • お問い合わせ
    • 医療法人社団 健誠会公式サイト
    • 採用情報
    • プライバシーポリシー

    Copyright(C)Ken Dental Clinic.All Rights Reserved.