TREATMENT ホワイトニング
目次
- ご自宅でできる「ホームホワイトニング」
- 医院で短時間で白くする「オフィスホワイトニング」
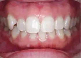
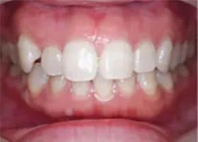
白く綺麗な歯!気持ちを明るくしてくれます!


※オフィスホワイトニングで歯を白くした症例です。
ホワイトニングのプロ:ホワイトニングコーディネーター在籍

当院では、日本審美歯科学会認定のホワイトニングコーディネーター監修のもとでホワイトニングを行っています。
どの程度の白さを目指しているのか、どのような治療ステップを踏むのかなど、疑問に感じられた点はすべてご質問ください。
また、当院では治療前後でお口の写真撮影もおこなっています。どのくらい変化したのかを、画像で確認していただけます。
ホワイトニングを行う場所が選べます
ホワイトニングには、主に
- ホームホワイトニング
- オフィスホワイトニング
の2種類があります。それぞれ、特徴とメリット・デメリットがあります。
ご確認いただいて、より患者さんにマッチした手法を選んでいただければと思います。
自宅でのホワイトニング ホームホワイトニング
概要
ホワイトニング用のマウスピースを作製し、専用の薬剤を入れてご自宅で行っていただくホワイトニング方法となります。

特徴
自然な白さが手に入りやすく、白さが長時間キープできるのがホームホワイトニングの特徴です。
その代わり、歯科医院で行うオフィスホワイトニングに比べると、歯が白くなるまでに時間がかかるというデメリットもあります。

ホワイトニング剤
当院では、株式会社GCの「TiON(ティオン)ホワイトニングシステム」を採用しています。
TiONには次のような特徴があります。

取り扱いやすいジェル性状
TiONのホームホワイトニング材はジェル状なので、マウスピースに注入しやすいというメリットがあります。
また、お口の中の温度にさらされても物性が変化しにくく、快適に扱えます。
ソフトなトレーシート
お口にはめていただくマウスピースの柔軟性も高いため、違和感が少なく、長時間お口の中に入れておく際も快適に扱えます。
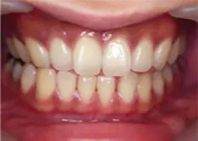
当院で実施したホームホワイトニング症例をご紹介します。


※オフィスホワイトニングで歯を白くした症例です。
施術の流れ
Step.1
当院にて歯石の除去等を行い、お口の中をキレイに清掃します。
ホワイトニングは、虫歯や歯周病のない状態で行う治療です。
虫歯があると、ホワイトニングの薬液が痛みの原因ともなりますので、ホワイトニング自体が行えません。
また、歯周病がある場合、歯茎からの出血によって薬液の効果が薄れることもあります。
こうしたお口のトラブルを抱えている場合は、まずそちらの治療を行ってからホワイトニングの施術、ということになります。

Step.2
歯型を採り、患者さんの歯並びに合ったマウスピースを作ります。

Step.3
そのマウスピースをチェックし、薬剤の使い方や1日の使用時間などの説明を聞いていただきます。

Step.4
ご自宅で毎日一定の時間、マウスピースによるホワイトニングを続けていただきます。
期間は体質や目指す色調、変色の度合いなどにもより変動します。

歯科医院でのホワイトニング「オフィスホワイトニング」
概要
光に反応して歯の色素を分解する薬剤を歯の表面に塗り、歯科医院にて施術を行います。

特徴
短時間で輝くような白さを手に入れることができるのが、オフィスホワイトニングの特徴です。
その代わり、白さが持続する期間は短めとなります。

ホワイトニング剤
当院では「Tion」というオフィスホワイトニングを導入しています。
一般的なオフィスホワイトニングでは、ハロゲンランプやプラズマランプの光源と薬剤の熱反応で歯を白くしていました。しかし、この方法では熱による痛みを感じてします。
Tionホワイトニングでは光触媒の薬液を塗布してからLEDライトを照射することで、光化学反応によるホワイトニングを行うことができます。そのため、しみたり痛んだりといったことはほとんどありません。

また、薬剤の成分で歯の表面がツルツルになり、透明感・光沢のある自然な白さを引き出します。
さらに、歯質が強化され、汚れや着色が付きにくくなる効果も期待できます。
従来のオフィスホワイトニングでは痛みを感じてしまい、ホワイトニングが十分に受けられなかった方にもおすすめできるシステムです。


施術の流れ
Step.1
当医院にて歯石の除去等を行い、お口の中をキレイに清掃します。

Step.2
歯を白くする薬剤を塗ってから、特殊な光を照射して反応を起こさせ、薬剤を除去します。この流れを2~3回繰り返します。

Step.3
歯の色を確認(シェードチェック)して終了です。

ホームとオフィスを併用する「デュアルホワイトニング(お勧め)」


デュアルホワイトニングは、オフィスホワイトニングを受けていただいた後、ホームホワイトニングも実施することで、双方のメリットを最大限に引き出すという方法です。
これによって、短期間で獲得できた白さを、より長期的に維持することが可能になります。
当院で特におすすめしているホワイトニング方法となりますので、ぜひ検討してみてください。
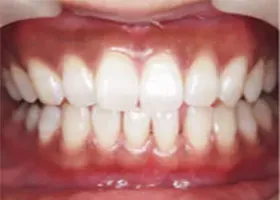
「半永久的」な白い歯を手に入れたい方へ


※上記症例はセラミックの被せ物を利用して、歯を白くした症例となります。
歯を白くするには、いくつかの方法があります。
ここまででご紹介したホワイトニングのほかに当院でおすすめしている手法は、セラミック製の被せ物などを行う「審美セラミック治療」というものです。
それぞれ次のような違いがあります。
ホワイトニング

| 治療方法 | 薬剤を反応させて歯を白くする |
|---|---|
| 効果 | 時間が経過すると再び着色。知覚過敏の症状が出ることもある |
| 他の効果 | 特になし |
審美セラミック治療

| 治療方法 | セラミック製の詰め物・被せ物を利用。歯の表面を削る必要がある |
|---|---|
| 効果 | 白さは半永久的に持続する |
| 他の効果 | 歯の形・歯並びも同時に改善可能 |
reservation あなたにあった
最良の歯科治療を
当院では、患者さんが抱えていらっしゃるお口のお悩みや疑問・不安などにお応えする機会を設けております。どんなことでも構いませんので、私達にお話ししていただけたらと思います。ご興味がある方は右記からお問い合わせください。