TREATMENT 入れ歯
目次
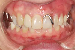
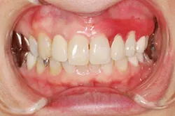
「目立ちにくい」「噛める」—これが当院の入れ歯のテーマ。保険適用の入れ歯でも自信があります!


※上記症例は「目立ちにくい」入れ歯で治療した症例となります。
自信を持っておすすめする目立ちにくい・噛める入れ歯
- 目立ちにくさ
- 自分の歯と同じレベルで噛める
入れ歯治療ではこの2点を重要視しています。
入れ歯を使われている方の多くは「目立ちやすい」「噛みにくさ」で悩んでいます。
しかし、今は入れ歯製作の技術自体が進歩していますので、正しい知識と技術があれば、めだちにくく、噛みやすい入れ歯を作ることができます。
目立ちにくい入れ歯 1歯:4.4万円~16.5万円 (税込)
一般的に部分入れ歯は、金属製のバネを健康な歯に引っ掛けて固定することで使用します。
この金具は装着中にも見えやすいという問題があります。逆に言うと、これが目立ちにくくなれば、入れ歯をしていると気付かれにくくなります。
当院では、ノンクラスプデンチャーという、固定具が樹脂になった入れ歯をご提供しています。
この樹脂は歯肉の色になじみやすいピンク色で、目立ちにくい仕様となっています。
その中でも、特に審美性・機能性の面で優れた「アートス」を当院では推奨しています。
「目立ちにくい入れ歯」:アートス

アートスは、審美性・機能性の両面から、ほかのノンクラスプデンチャーよりも優れています。しっかり噛みやすいというのもアートスの特徴です。
オプションのご紹介
ノンクラスプデンチャーをより快適に使用するために、オプション加工もご用意しています。
ノンクラスプデンチャー+シリコン

ノンクラスプデンチャーに、柔らかく弾力性の高いシリコン素材を組み合わせることで、次のようなメリットが得られます。
- シリコンの柔らかさで歯茎が痛くなりにくい
- 硬いものを噛むことができる
- 高い吸着性を発揮するので他の入れ歯よりも外れにくい
ノンクラスプデンチャーのみでは痛みを感じる場合や、すぐ外れる、噛み心地が悪いという方におすすめです。
ノンクラスプデンチャー+金属

ノンクラスプデンチャーは樹脂製のため柔軟性には優れますが、逆に言うと、その分たわみやすく、変形してしまうことがあります。そこで、チタンやコバルトクロムといった人体への悪影響の少ない金属を補強材として併用することで、機能性を高めるというオプションがあります。
メリットは、
- 通常のノンクラスプデンチャーよりも安定するため噛みやすい
- 金属を利用するためより薄く作ることができ違和感が少ない
- 熱を伝えるため食事が美味しく感じる
などがあります。
一方で、
- 金属を利用するため柔らかさは軽減される
- 金属を利用するため重量感がある
というようなデメリットも存在します。
「なんでもしっかり噛める」入れ歯
当院では、
- 入れ歯に磁石の力を応用した磁性アタッチメント義歯
- 気圧や摩擦を利用したコーヌスクローネ義歯
- インプラントを活用したインプラントオーバーデンチャー
といった、よりしっかりと噛み締めやすい、安定性の高い入れ歯もご用意しています。
これらの入れ歯も金属のバネを利用しないため目立ちにくいという特徴があります。
「磁石+入れ歯」の磁性アタッチメントデンチャー
歯の付け根(歯根)が残っている場合に対応できる種類の入れ歯です。
歯根部に金属を設置し、入れ歯にも磁石を埋め込んでおきます。こうすることで磁力を活用して入れ歯を固定します。構造上、金属のバネが必要ないため、目立ちにくく、異物感も少ない入れ歯です。

歯科先進国ドイツ製の精密入れ歯「コーヌスクローネ義歯」
元の歯の一部を利用して、お口の中に金属の突起状の固定具を用意します。入れ歯は、内側にその突起にぴったりはまるサイズの空洞を用意しておきます。
これをかぶせることによって、義歯と固定具の間が真空状態になり、簡単には引き抜けなくなります。
こちらも金属バネが不要な入れ歯なので、外見上目立ちにくく、外れにくいというメリットがあります。

「インプラント+入れ歯」のインプラントオーバーデンチャー
インプラントオーバーデンチャーは、歯茎に埋め込んだインプラント体を利用して入れ歯を固定する方法です。
手法の特徴上、総入れ歯となっている患者さん向けの治療方法です。
インプラントオーバーデンチャーでは、インプラントによる総人工歯化よりも肉体的・経済的負担が軽いもので済むというメリットがあります。

入れ歯でも「個性」「あなたらしさ」を表現できます!
歯並びには個性があり、その方にあった形や色があります。
入れ歯では、この個性を最大限表現し、理想のお口に近付けることが可能です。
分かりやすい例として「歯の形態」の違いによる印象の変化をご紹介します。
ナチュラル型

前歯の先端が不揃いになっている状態で、日本人によくみられる形状です。
無難かつ自然な歯並びです。口元を小さく見せ、若々しい印象を与える歯並びです。
ストレート型

前歯の先端が一直線上に並ぶ、欧米人に多いタイプの歯並びです。口元の印象がシャープになります。
クローズ型

前歯の先端が一直線上に並び、かつやや歯同士が重なっているのがクローズ型の特徴です。女性的な印象が強くなり、日本人の女優さんにも多く見られます。
スマイルライン型

下唇のラインと前歯のラインが平行になる形状で、ハリウッドスマイルとも呼ばれます。世界的に好まれる傾向にある歯並びです。
このように、一見しただけでは分かりにくいような微妙な形状の違いであっても、その人の印象は変わってくるものです。
当院では、患者さん一人ひとりに話を聞きながら、その方の希望、そして個性をしっかりと把握し、入れ歯を作製しています。
reservation あなたにあった
最良の歯科治療を
当院では、患者さんが抱えていらっしゃるお口のお悩みや疑問・不安などにお応えする機会を設けております。どんなことでも構いませんので、私達にお話ししていただけたらと思います。ご興味がある方は右記からお問い合わせください。