TREATMENT 虫歯治療
目次
- 痛みを少なく
- 削る量を最小限に
- 歯の神経を守る
- 抜歯を回避する
上記を可能な限り達成させることが、当院の虫歯治療の特徴です。
「虫歯治療=銀歯」ではありません!白い素材も保険で対応!
虫歯の治療をした後の治療材として「銀歯」を想像する患者さんは多いでしょう。
しかし、現在では必ずしも銀歯を選ぶ必要はありません。
同じく保険適用の治療材にコンポジットレジン(CR)と呼ばれるものが存在します。
CRは白く目立ちにくい素材のため、治療痕が分かりにくくなりやすいです。


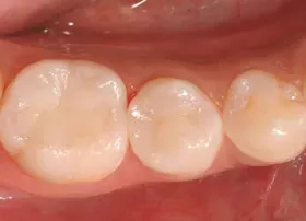
※CR素材を利用して虫歯治療をした症例です。
この治療法は治療適応範囲に限界があり、大きな銀歯や、全部を被せるクラウンなどの代わりにはできません。
銀歯と比べた時に、以下のようなメリットがあります。

メリット
- 白い素材で目立ちにくい
- 1回の治療で終了する
- 歯の隙間をしっかり埋められるので虫歯になりにくい
- 歯を削る量を最小限に抑えられる
一方で、次のようなデメリットもあります。
デメリット
- 変色することがある
- 被せ物では利用できない
- 症例が限定される(広範囲にわたる詰め物適用できない)
このほかにも、患者さんや症例によってメリット・デメリットは異なりますので、ご興味がある方はぜひ当院までご相談ください。
あなたが虫歯治療で大切にしたいことは何ですか?
技術の進歩もあり「歯医者の治療=痛い、怖い」ではなくなってきています。
当院では「痛みへの配慮」「削る量を最小限に抑える」「歯の神経を極力残す」「可能な限り抜歯を回避する」の4つのテーマで虫歯治療を実施しています。それぞれご紹介します。
-
「痛み緩和」治療

技術を駆使して、治療時の痛みを抑えます。痛みが苦手な方でも安心して施術を受けていただけます。
詳しく見る
-
「削る量」を抑える

歯を削る量を最小限に抑えます。これにより、歯の寿命を延ばすことができます。
詳しく見る
-
神経を「可能な限り残す」

他院では神経を抜かなければならない症状でも、当院であれば神経を残す処置が可能かもしれません。
詳しく見る
「痛みを緩和」する歯科治療
当院では、治療時に使用する薬剤や機器にこだわりを持ち、痛みを最小限に抑える工夫をしています。
こだわり1 表面麻酔
事前に歯茎の表面に麻酔薬を塗ることで、麻酔注射そのものによる痛みを低減させます。
表面麻酔は塗り薬なので、それ自体に痛みはありません。

こだわり2 極細の針を使用
針は細ければ細いほど痛みを感じにくいという特徴があります。
当院では、国内で流通している針の中でも最小径クラスのものを使用しており、これを使ってやさしく注射することで、痛みを可能な限り抑えています。

こだわり3 電動麻酔注射を利用して最適な注入速度に調整
麻酔時に痛みが生じる理由の1つに、麻酔液が体内に入ってくるときの速度というものがあります。
麻酔液を勢いよく注入されると、細胞にかかる圧力が一気に増すことで、違和感や不快感、ひいては痛みが生じるのです。
当院では、麻酔液の注入速度や圧力をコンピュータ制御することによって、人体が感じる痛み・不快感を最小限に抑える取り組みをしています。

「削る量を抑える」治療でご自身の歯を大切に
歯は、一度削ると二度と再生することはありません。
もちろん、歯科材料で詰め物をすることで機能面を回復させることはできますが、指先を切ってしまった時に細胞が再生して傷口が閉じるように、歯の失われた部分が生えてくることはありません。
虫歯になってしまったときに、虫歯菌に感染してしまった歯質を削り取ることはもちろん必要です。
しかし、不必要なほどにまで広範囲にわたって削り取ることは避けるべきです。
例えば、同じ歯がもう一度虫歯になってしまったとき、再び削ることができる分だけの歯質が残っていないと、抜歯処置・インプラントや入れ歯による治療が必要となってしまうことがあります。
天然歯は人工歯よりも、機能面でもメンテナンス面でも優れていると言えるでしょう。
ですから、できる限り患者さん自身の歯を失なってしまわないように、配慮した治療が必要になります。
当院では、以下のような取り組みから、削る量を最小限に抑える工夫を行っています。
こだわり1 治療の精度を確実に向上させる「ルーペ(拡大鏡)」

歯科治療において「治療箇所が見えること」はとても大切です。
当たり前だと感じられるかもしれませんが、お口の中は暗く狭いため、十分な環境が整っていないと、病巣の見落としなど、治療ミスにつながってしまいます。
当院では、肉眼による治療はもちろんのこと、症例に合わせて拡大鏡を利用しています。
これによって、肉眼よりも数倍拡大された視野で治療にあたることが可能になります。
次の画像は肉眼での視野と拡大鏡を使用した際の視野を、それぞれ撮影したものです。
拡大鏡を利用したほうがより細かい点までチェックしやすくなり、治療の精度は大幅に向上します。

こだわり2 必要な部分のみを削るための「超極細ドリル」
歯を削るためのドリルは、「バー」と呼ばれます。
当院で使用しているバーは細いもののため、歯の健康な部分まで誤って削ってしまうリスクが小さく済みます。

こだわり3 虫歯感染部位だけをしっかり除去する「スプーンエキスカベーター」
虫歯に侵食されている部分は、通常の歯よりも軟らかくなっており、ドリルを使わずとも感染部位を除去できる場合があります。
当院では、「スプーンエキスカベーター」と呼ばれるアイテムを利用して、手の力のみで虫歯を削り落とす場合があります。
バーを利用した治療のほうが数段早く感染部位を取り除くことができるのですが、反面、健康な歯質まで削り落としてしまうリスクもあり、必ずしも最良の方法とは言えません。
スプーンエキスカベーターを利用した場合は、少し時間がかかりますが、「健康な歯をできる限り残す」という考えに基づいたものですので、どうかご了承ください。

「歯の神経を守る」治療法
歯の神経を除去すると、まるで「枯れ木」のように歯がもろくなります。
そのため、歯の寿命を延ばすためには、可能な限り歯の神経を残すことが大切になります。当院ではMTAセメントと呼ばれる材料でこれを達成させています。
「MTAセメント」による封鎖・無菌化・再石灰化
MTAセメントとは、神経が露出した部分を封鎖するための特殊な薬剤です。歯の神経まで感染した虫歯でもMTAセメントを塗布することにより、患部を無菌化し、神経を残したまま詰め物を入れることが可能となり、さらに、歯、本来の再生力を取り戻させ修復します。

可能な限り「抜歯を回避」する治療
虫歯が過度に進行してしまうと最終的には「抜歯」となります。
しかし、エクストリュージョンという方法を利用することで、通常「抜歯」と宣告されてしまう歯であっても残せる可能性があります。
具体的には、歯茎の下に埋まっている歯根を上に引き上げ、それを土台として被せ物をする治療になります。



この治療法を行っている医院は多くはありませんので、「歯を残したい」と考えられている方、一度ご相談ください。
reservation あなたにあった
最良の歯科治療を
当院では、患者さんが抱えていらっしゃるお口のお悩みや疑問・不安などにお応えする機会を設けております。どんなことでも構いませんので、私達にお話ししていただけたらと思います。ご興味がある方は右記からお問い合わせください。


